ORIGINAL ARTICLE

Resveratrol-induced brown fat-like phenotype in 3T3-L1 adipocytes partly via mTOR pathway

Zihui Liu1,2, Weiyao Liao1,2, Xiaohan Yin1,2, Xinjie Zheng1,2, Qingrong Li1,2, Hongmin Zhang1,2, Lin Zheng1,2 and Xiang Feng1,2*

1Department of Nutrition, School of Public Health, Sun Yat-sen University, Guangzhou, China; 2Guangdong Provincial Key Laboratory of Food, Nutrition and Health, Guangzhou, China

Popular scientific summary

Abstract

Background: Browning of white adipose tissues (WAT) is recognized as a novel way to combat obesity and its related comorbidities. Thus, a lot of dietary agents contributing to browning of WAT have been identified.

Objective: In this study, we try to explore the mechanism of the browning of WAT induced by resveratrol (Res) in 3T3-L1 adipocytes.

Methods: The levels of cell viability and lipid accumulation were evaluated under different concentrations of Res. Cell signaling pathway analysis was performed to investigate the possible mechanisms of the WAT browning effect of Res in 3T3-L1 cells.

Results: We found that Res induced the brown fat-like phenotype by activating protein expressions of brown adipocyte-specific markers, such as peroxisome proliferator-activated receptor gamma (PPAR-γ), peroxisome proliferator-activated receptor gamma coactivator-1 alpha (PGC-1α), and uncoupling protein 1 (UCP1). Besides, Res reduced lipid accumulation, as shown by Oil Red O staining. The increased small lipid droplets implied that Res-treated 3T3-L1 adipocytes had some features of brown adipocytes. The brown fat-like phenotype in 3T3-L1 adipocytes induced by Res was possibly mediated by activation of mammalian target of rapamycin (mTOR), as brown adipocyte-specific markers were decreased by rapamycin, an inhibitor of mTOR and the MHY1485 treatment, an activator of mTOR, showed the similar effect of Res on browning markers.

Conclusions: Res induced brown-like adipocyte phenotype in 3T3-L1 adipocytes partly via mTOR pathway, which provided new insights into the utilization of Res to prevent obesity and related comorbidities.

Keywords: resveratrol; 3T3-L1 adipocytes; Browning; mTOR

Citation: Food & Nutrition Research 2020, 64: 3656 - http://dx.doi.org/10.29219/fnr.v64.3656

Copyright: © 2020 Zihui Liu et al. This is an Open Access article distributed under the terms of the Creative Commons Attribution 4.0 International License, allowing third parties to copy and redistribute the material in any medium or format and to remix, transform, and build upon the material for any purpose, even commercially, provided the original work is properly cited and states its license.

Received: 2 August 2019; Revised: 30 October 2019; Accepted: 31 October 2019; Published: 14 January 2020

Competing interests and funding: The authors declare no conflict of interest. This research was supported by the Natural Science Foundation of Guangdong Province, China (No. 2014A030313097).

*Correspondence to: Xiang Feng, Department of Nutrition, School of Public Health, Sun Yat-Sen University, No. 74 Zhongshan Rd. 2, Guangzhou, P.R. China. Email: fengx@mail.sysu.edu.cn

 

Obesity is a severe health problem due to its associations with various adverse health consequences, which occurs when the balance between energy intake and expenditure has been broken. In 2015, more than 100 million children and 600 million adults were diagnosed with obesity, respectively, and the prevalence of obesity is increasing year by year (1).

Two major types of adipose tissues, named white adipose tissue (WAT) and brown adipose tissue (BAT), are found in mammals, which can be discriminated by their special morphology and functions. WATs are responsible for energy storage in the form of triglycerides, whereas BATs are responsible for energy dissipation by non-shivering thermogenesis, which depends on its high content of mitochondria and expression of uncoupling protein 1 (UCP1) (2). However, the amount of BAT in adult healthy humans is quite low.

Recently, a new type of adipocytes called ‘beige’ or ‘brite’ adipocyte originated from the same progenitor as white adipocyte has been identified (3). Interestingly, this kind of adipocyte expresses higher level of UCP1 than WAT, and is morphologically like BAT, which means that beige adipocyte can increase energy expenditure as BAT.

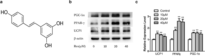
Many natural phytochemicals such as curcumin (4), chrysin (5) and capsaicin (6) exhibit positive effects on the browning of WAT. Resveratrol (3,5,4′-trihydroxystilbene, Fig. 1a, Res) is a polyphenol existed in plants, especially in the skin of grapes, which exerts multiple physiological effects, such as antioxidant and anti-inflammatory (7), anti-carcinogenic (8), and anti-adipogenic (9) effects. Recent in vivo and in vitro studies have revealed that Res possesses the ability of increasing BAT thermogenesis markers in adipocytes (1014). These researches suggested that Res may have potential to induce WAT browning, but the mechanism is still unclear.

Fig 1
Fig. 1.  Chemical structure of resveratrol (a). Effects of Res on expression of brown adipocytes-specific markers by Western blot analysis (b) and densitometric analysis of brown adipocytes markers (c). All data are presented as the mean ± standard deviation (SD), and differences between groups were determined by one-way analysis of variance (ANOVA) using the Statistical Package of Social Science (SPSS, version 20.0; SPSS Inc.) program, followed by Tukey’s post-hoc tests. Statistical significance between control and Res-treated groups is shown as *P < 0.05 or **P < 0.01. The amount of Dimethyl sulfoxide (DMSO) was 0.08% in control.

Mammalian target of rapamycin (mTOR) is known as a critical regulator of cell growth and metabolism. In cell culture systems, mTOR acts as a mediator-linked nutrients and metabolic hormone signaling (15), and lately researches are revealing their roles in adipocytes in vivo. However, published studies on the role of mTOR in adipose tissue browning have been paradoxical. It is reported that Res influences mTOR complex 1 (mTORC1) or its downstream site P70S6 (16). In this study, we aimed to elucidate the role of Res in the formation of brown-like adipocytes in 3T3-L1 and explore mechanisms related to mTORC1 underlying this process.

Materials and methods

Cell culture and induction of differentiation

3T3-L1 cells were cultured in Dulbecco’s modified Eagle’s medium (DMEM) containing 10% fetal bovine serum at 37°C in a 5% CO2 incubator. 3T3-L1 cells were maintained in culture plates. After 100% confluence was reached, the cells were treated for 48 h with a hormone mixture containing 10 μg/mL insulin, 0.5 μM dexamethasone, and 0.5 mM IBMX (Sigma-Aldrich, MO, USA), and then exchanged with DMEM containing insulin. The cells were differentiated into adipocytes until day 8. Media was changed every 2 days. During treatments, cells were treated with different concentrations of Res for 6–8 days before further analysis. Cytotoxicity of Res was evaluated by methyl thiazolyl tetrazolium (MTT) assay as described previously and we used half-inhibitory concentration (IC50) as a measure of the potency of a substance in inhibiting a specific biological or biochemical function (17, 18).

Immunofluorescence

Cells grown on poly-L-lysine-pretreated coverslips were fixed with 4% p-formaldehyde followed by washing with phosphate-buffered saline (PBS) and then subjected to permeabilization with 0.25% Triton X100 (Sigma-Aldrich, MO, USA). Cells were washed with PBS three times, blocked with 1% Bovine Serum Albumin (BSA) in PBS-T for 1 h, and incubated with polyclonal anti-UCP1 antibody (1:200 dilution) (Santa Cruz Biotechnology, Santa Cruz, CA, USA) overnight at 4°C, followed by three washes with PBS. Cells were then incubated with fluoresceine isothiocyanate (FITC)-conjugated antigoat secondary antibody (1:400 dilutions). 4,6-diamino-2-phenyl indole (DAPI) (Thermo Fisher Scientific, Boston, MA, USA) was used to stain nuclei of cells. Florescence images were captured using a confocal laser scanning microscope LSM700 (Carl Zeiss, Oberkochen, Germany). Analysis of images (control and curcumin-treated) was performed by software Zen 2009 (Carl Zeiss, Germany). For staining of mitochondria, Mito Tracker Red (1 mM, Cell Signaling Technology, Beverly, MA) was directly added to the growing media at a concentration of 20–25 nM, and cells were kept for 30–40 min at 37°C. After incubation, cells were fixed in 4% p-formaldehyde, followed by a single wash with PBS and immunostaining (4).

Oil Red O staining

Control and Res-treated cells were harvested 8 days after differentiation, and then washed by PBS, fixated with 4% paraformaldehyde for 1 h at room temperature, and washed three times with double deionized water. Then cells were stained with a mixture of Oil Red O solution (0.6% Oil Red O dye in isopropanol) and water at a 6:4 ratio for 20 min and captured images under a microscope.

Western blotting

Cells were extracted using a RIPA lysate (Beyotime, China), and then centrifuged at 12,000× g for 15 min. Sample were separated by 8, 10, or 12% sodium dodecyl sulfate (SDS)-polyacrylamide gel electrophoresis and transferred to a polyvinylidene difluoride membrane (Santa Cruz Biotechnology, Dallas, TX, USA), and then blocked by a solution of tris buffered saline with Tween (TBS-T) and 5% skim milk for 1 h. The membrane was rinsed by TBS-T buffer, and then incubated at 4°C overnight with 1:1,000 dilutions of primary polyclonal antibodies anti-β-actin (1:1,000; #4970; Cell Signaling Technology), anti-peroxisome proliferator-activated receptor gamma (anti-PPAR-γ) (1:1,000; #2435; Cell Signaling Technology), anti-UCP-1 (1:1,000; #14670; Cell Signaling Technology), anti-peroxisome proliferator-activated receptor gamma coactivator-1 alpha (anti-PGC-1α) (1:1,000; sc-518025; Santa Cruz Biotechnology), mTOR (1:1,000; #2972; Cell Signaling Technology), p-mTOR (1:1,000; #2971; Cell Signaling Technology), P70S6 (p70 S6 Kinase; 1:1,000; #9202; Cell Signaling Technology), and p-P70S6 (Phospho-p70 S6 Kinase; 1:1,000; #9208; Cell Signaling Technology) in TBS-T buffer containing. After washing three times, the membrane was incubated for 1–2 h with horseradish peroxidase-conjugated anti-goat immunoglobin G (IgG) or anti-rabbit IgG secondary antibody (1:1,000, Santa Cruz Biotechnology) in TBS-T buffer. Enhanced chemiluminescence (West Zol, iNtRON Biotechnology, Kyungki-Do, South Korea) was used to develop and Image J software (NIH) was used to quantify the intensities of band.

Statistical analysis

Results were expressed as mean values ± standard deviation. The analysis of variance (two-way ANOVA) was used for statistical analysis by SPSS v.20.0 statistical analysis software (SPSS Inc., Chicago, IL, USA), followed by post-hoc tests. Values between control and Res-treated groups were considered statistically significant at either P < 0.05 or P < 0.01.

Results

Resveratrol increased the expression of BAT thermogenesis markers 3T3-L1 adipocytes

First, cytotoxicity of Res was evaluated by MTT assay. The IC50 of Res is 48.05 μM, so we deleted the group of 80 μM. After treatment with different concentrations of Res, we found that Res synergistically increased the expression of key brown fat markers (PGC-1a, PPAR-γ, and UCP1), suggesting that white adipocytes might convert into beige adipocytes (Fig. 1b and 1c), which was confirmed by immunostaining at the cellular level (Fig. 2).

Fig 2
Fig. 2.  The effect of resveratrol treatment on uncoupling protein 1 (UCP1) protein expression. 3T3-L1 adipocytes with 20 μM Res treatment for 6 days were used to stain for UCP1, which were captured at 400× magnifications. The amount of DMSO was 0.08% in control.

Resveratrol-regulated lipid accumulation in 3T3-L1 adipocytes

The number of small lipid droplets was increased upon Res treatment, as shown by Oil Red O staining. After removing the staining solution, the dye retained in the cells was eluted into isopropanol and OD540 was determined. The results showed that Res could reduce the lipid accumulation of adipocytes in a dose-dependent manner (Fig. 3a and 3b). These results suggested that 3T3-L1 adipocytes got some characteristic of brown adipocytes, and Res might trigger browning phenomenon in 3T3-L1 adipocytes.

Fig 3
Fig. 3.  Effects of resveratrol on lipid accumulation in 3T3-L1 adipocytes. Oil Red O staining of mature 3T3-L1 adipocytes captured at 200× magnifications (a) and relative optical density (OD) value determined at OD540 (b). Oil O Red images were from 3T3-L1 adipocytes treated with Res for 8 days. All data are presented as the mean ± standard deviation (SD), and differences between groups were determined by one-way analysis of variance (ANOVA) using the Statistical Package of Social Science (SPSS, version 20.0; SPSS Inc.) program, followed by Tukey’s post hoc tests. Statistical significance between control and Res-treated groups is shown as *P < 0.05 or **P < 0.01. The amount of DMSO was 0.08% in control.

Resveratrol-induced brown adipocytes phenotype via mTOR-mediated pathway

mTOR is a key regulator of cell growth and metabolism. To explore the possible mechanism of the browning of 3T3-L1 adipocytes induced by Res, we examined expression level of mTOR. Res treatment significantly increased the expression of p-P70S6, a downstream effector of mTORC1 (Fig. 4d). Then, we treated 3T3-L1 adipocytes with a potent activator (MHY1485, 2 μM) and an inhibitor (rapamycin, 10 nM) of mTOR, respectively. Rapamycin greatly decreased the ratio of both p/t-P70S6 and p/t-mTOR (Fig. 4d and 4e). Compared to treatment with both rapamycin and Res, expression levels of UCP1, PPAR-γ, and PGC-1α treated with Res alone were also decreased (except for PPAR-γ, P > 0.05). The activator MHY1485 increased the expression levels of these brown marker proteins, and the tendency is similar to treatment with Res (Fig. 4a and 4c). These results suggested that Res-induced increasing expressions of brown fat markers in 3T3-L1 adipocytes might involve mTOR pathway.

Fig 4
Fig. 4.  Effects of Res, rapamycin, and MHY1485 on expression of browning marker proteins via mammalian target of rapamycin (mTOR)-mediated pathway. Effects of rapamycin and MHY1485 on expression of mTOR (a) and browning marker proteins (d). The densitometric analysis of browning marker proteins (b and c) and ratio of phosphorylation to total mTOR (e and f). Rapamycin (10 nM) and MHY1485 (2 μM) were used to treat 3T3-L1 adipocytes for 6 days, and protein expression levels were determined by Western blotting. With or without treatment, each compound was indicated by ‘+’and ‘−’, respectively. All data are presented as the mean ± standard deviation (SD), and differences between groups were determined by one-way analysis of variance (ANOVA) using the Statistical Package of Social Science (SPSS, version 20.0; SPSS Inc.) program, followed by Tukey’s post-hoc tests. Statistical significance between control and Res-treated groups is shown as *P < 0.05 and between control versus other groups is shown as #P < 0.05. The amount of DMSO was 0.08% in control.

Discussion

In the present study, we found that treatment with Res enhanced the expression level of UCP1, a marker of brown adipocytes, which is consistent with the results of Wang et al. (19) in stromal vascular cells of mice. It is well established that UCP1 is located in mitochondrial inner membrane and is responsible for non-shivering thermogenesis. Shabalina et al. (20) found that UCP1 expression level in browning-isolated inguinal white adipose depots of mice almost reached that in brown adipocytes.

PPAR-γ and PGC-1α were also elevated with Res treatment. PPAR-γ is considered as a main transcriptional regulator of adipogenesis, and its role in browning has been revealed recently. Wang et al. (21) reported that PPAR-γ can induce the formation of brite adipocytes in the inguinal white adipose tissue (iWAT) depot. PGC-1α can induce uncoupling proteins and regulate nuclear respiratory factors, which, in turn, controls mitochondrial biogenesis and respiration (22). PGC-1α is identified as a transcriptional coactivator of PPAR-γ that acts at the UCP1 gene promoter (23).

There are morphological differences between white adipocytes and brown adipocytes. Brown adipocytes are polygonal cells with multilocular lipid droplets. Visibly reduction of the accumulation of lipid in adipocytes also supports this notion. So, based on the above results, we could conclude that Res can induce brown fat-like phenotype in 3T3-L1 adipocytes.

It is reported that mTOR plays a role in browning of WAT; however, it was not sure whether its function is to activate or inhibit the process of browning. Shan et al. (24) and Polak’ et al. (25) reported that adipocyte-specific mTOR-knockout or raptor-knockout decreased the weight of WATs and induced WAT-browning. However, previous studies reported that mice with mTORC1 impairment blocked the ability of β-adrenergic signaling and reduced expression of thermogenic genes in WAT (26, 27).

When it comes to the effect of Res on mTOR, the majority tend to believe that mTORC1 was inhibited by Res, especially with high concentrations (more than 50 μM) or short time treatment (<48 h) (2831). There are also a few researchers found that Res has no effect on mTOR (32).

P70S6 is one of the best characterized downstream effector of mTORC1, which can phosphorylate and activate the 40S ribosomal S6 protein. Armour et al. identified S6K1 as the direct target of Res (33). Demidenko et al. found it is possible that low concentrations (<12.5 μM) of Res increase S6 phosphorylation in HT-p21 cells (30). Besides, Huang et al. reported that 0.2–2 μM treatment in 2BS and WI38 cells can activate phosphorylation of S6K1 (34). In our study, after 8 days of 20 μM Res treatment, the phosphorylation of S6K1 was enhanced. Rapamycin successfully blocked mTOR and eliminated the stimulating effects of Res on the browning markers, and MHY1485 treatment mimicked the effects of Res on browning markers, reinforcing our assumption that Res induced browning via the mTOR-mediated pathway.

Conclusion

In conclusion, our findings suggest that Res plays a dual modulatory role in the form of inducing the brown-like phenotype, and mTOR pathway was involved in this process. So, Res may be explored as a potentially promising food additive for prevention of obesity. However, the detailed mechanism that underlies these effects remains unclear and studies in vivo are required to ascertain its role.

Acknowledgements

The authors would like to express their gratitude for the technical assistance from the experimental center of the School of Public Health, Sun Yat-sen University.

Authors’ contributions

X.F. conceptualized and supervised the study. Z.L., W.L., X.Y., X.Z., Q.L., H.Z., and L.Z. conducted the experiments for data acquisition and performed the statistical analysis. X.F., Z.L., and W.L. contributed to writing and editing the manuscript. All authors have read and approved the final version of this manuscript.

Data availability

The data sets used and/or analyzed during this study are available from the author (Weiyao Liao) on reasonable request. Please contact author (Weiyao Liao) for data or material requests.

References

  1. Afshin A, Forouzanfar MH, Reitsma MB, Sur P, Estep K, Lee A, et al. Health effects of overweight and obesity in 195 countries over 25 years. N Engl J Med 2017; 377: 13–27. doi: 10.1056/NEJMoa1614362
  2. Cypess AM, Kahn CR. Brown fat as a therapy for obesity and diabetes. Curr Opin Endocrinol Diabetes Obes 2010; 17: 143–149. doi: 10.1097/MED.0b013e328337a81f
  3. Wu J, Bostrom P, Sparks LM, Ye L, Choi JH, Giang A.-H, et al. Beige adipocytes are a distinct type of thermogenic fat cell in mouse and human. Cell 2012; 150: 366–376. doi: 10.1016/j.cell.2012.05.016
  4. Lone J, Choi JH, Kim SW, Yun JW. Curcumin induces brown fat-like phenotype in 3T3-L1 and primary white adipocytes. J Nutr Biochem 2016; 27: 193–202. doi: 10.1016/j.jnutbio.2015.09.006
  5. Choi JH, Yun JW. Chrysin induces brown fat-like phenotype and enhances lipid metabolism in 3T3-L1 adipocytes. Nutrition 2016; 32: 1002–1010. doi: 10.1016/j.nut.2016.02.007
  6. Baskaran P, Krishnan V, Ren J, Thyagarajan B. Capsaicin induces browning of white adipose tissue and counters obesity by activating TRPV1 channel-dependent mechanisms. Br J Pharmacol 2016; 173: 2369–2389. doi: 10.1111/bph.13514
  7. Hsu H.-T, Tseng Y.-T, Wong W.-J, Liu C.-M, Lo Y.-C. Resveratrol prevents nanoparticles-induced inflammation and oxidative stress via downregulation of PKC-alpha and NADPH oxidase in lung epithelial A549 cells. BMC Complement Altern Med 2018; 18: 211. doi: 10.1186/s12906-018-2278-6
  8. Chatterjee K, Mukherjee S, Vanmanen J, Banerjee P, Fata JE. Dietary polyphenols, resveratrol and pterostilbene exhibit antitumor activity on an HPV E6-positive cervical cancer model: an in vitro and in vivo analysis. Front Oncol 2019; 9: 352. doi: 10.3389/fonc.2019.00352
  9. Aguirre L, Fernandez-Quintela A, Arias N, Portillo MP. Resveratrol: anti-obesity mechanisms of action. Molecules (Basel, Switzerland) 2014; 19: 18632–18655. doi: 10.3390/molecules191118632
  10. Arias N, Pico C, Macarulla MT, Oliver P, Miranda J, Palou A, et al. A combination of resveratrol and quercetin induces browning in white adipose tissue of rats fed an obesogenic diet. Obesity 2017; 25: 111–121. doi: 10.1002/oby.21706
  11. Andrade JM, Frade AC, Guimaraes JB, Freitas KM, Lopes MT, Guimaraes AL, et al. Resveratrol increases brown adipose tissue thermogenesis markers by increasing SIRT1 and energy expenditure and decreasing fat accumulation in adipose tissue of mice fed a standard diet. Eur J Nutr 2014; 53: 1503–1510. doi: 10.1007/s00394-014-0655-6
  12. Ravaud C, Pare M, Yao X, Azoulay S, Mazure NM, Dani C, et al. Resveratrol and HIV-protease inhibitors control UCP1 expression through opposite effects on p38 MAPK phosphorylation in human adipocytes. J Cell Physiol 2019; 235: 1184–1196. doi: 10.1002/jcp.29032
  13. Andrade JMO, Barcala-Jorge AS, Batista-Jorge GC, Paraiso AF, Freitas KM, Lelis DF, et al. Effect of resveratrol on expression of genes involved thermogenesis in mice and humans. Biomed Pharmacother 2019; 112: 108634. doi: 10.1016/j.biopha.2019.108634
  14. Li Q, Wang K, Ma Y, Qin C, Dong C, Jin P, et al. Resveratrol derivative BTM-0512 mitigates obesity by promoting beige remodeling of subcutaneous preadipocytes. Acta Biochim Et Biophys Sin 2017; 49: 318–327. doi: 10.1093/abbs/gmx009
  15. Lee PL, Jung SM, Guertin DA. The complex roles of mechanistic target of rapamycin in adipocytes and beyond. Trends Endocrinol Metab 2017; 28: 319–339. doi: 10.1016/j.tem.2017.01.004
  16. Leipert J, Kaessner F, Schuster S, Haendel N, Koerner A, Kiess W, et al. Resveratrol potentiates growth inhibitory effects of rapamycin in PTEN-deficient lipoma cells by suppressing p70S6 kinase activity. Nutr Cancer 2016; 68: 342–349. doi: 10.1080/01635581.2016.1145244
  17. Mosmann T. Rapid colorimetric assay for cellular growth and survival: application to proliferation and cytotoxicity assays. J Immunol Methods 1983; 65: 55–63. doi: 10.1016/0022-1759(83)90303-4
  18. Cheng Y, Prusoff WH. Relationship between the inhibition constant (K1) and the concentration of inhibitor which causes 50 per cent inhibition (I50) of an enzymatic reaction. Biochem Pharmacol 1973; 22: 3099–3108. doi: 10.1016/0006-2952(73)90196-2
  19. Wang S, Liang X, Yang Q, Fu X, Rogers CJ, Zhu M, et al. Resveratrol induces brown-like adipocyte formation in white fat through activation of AMP-activated protein kinase (AMPK) alpha 1. Int J Obesity 2015; 39: 967–976. doi: 10.1038/ijo.2015.23
  20. Shabalina IG, Petrovic N, de Jong JMA, Kalinovich AV, Cannon B, Nedergaard J. UCP1 in brite/beige adipose tissue mitochondria is functionally thermogenic. Cell Rep 2013; 5: 1196–1203. doi: 10.1016/j.celrep.2013.10.044
  21. Wang H, Liu L, Lin JZ, Aprahamian TR, Farmer SR. Browning of white adipose tissue with roscovitine induces a distinct population of UCP1(+) adipocytes. Cell Metab 2016; 24: 835–847. doi: 10.1016/j.cmet.2016.10.005
  22. Lo KA, Sun L. Turning WAT into BAT: a review on regulators controlling the browning of white adipocytes. Biosci Rep 2013; 33: 711–719. doi: 10.1042/bsr20130046
  23. Villarroya F, Peyrou M, Giralt M. Transcriptional regulation of the uncoupling protein-1 gene. Biochimie 2017; 134: 86–92. doi: 10.1016/j.biochi.2016.09.017
  24. Shan T, Zhang P, Jiang Q, Xiong Y, Wang Y, Kuang S. Adipocyte-specific deletion of mTOR inhibits adipose tissue development and causes insulin resistance in mice. Diabetologia 2016; 59: 1995–2004. doi: 10.1007/s00125-016-4006-4
  25. Polak P, Cybulski N, Feige JN, Auwerx J, Ruegg MA, Hall MN. Adipose-specific knockout of raptor results in lean mice with enhanced mitochondrial respiration. Cell Metab 2008; 8: 399–410. doi: 10.1016/j.cmet.2008.09.003
  26. Liu D, Bordicchia M, Zhang C, Fang H, Wei W, Li J.-L, et al. Activation of mTORC1 is essential for beta-adrenergic stimulation of adipose browning. J Clin Invest 2016; 126: 1704–1716. doi: 10.1172/jci83532
  27. Tran CM, Mukherjee S, Ye L, Frederick DW, Kissig M, Davis JG, et al. Rapamycin blocks induction of the thermogenic program in white adipose tissue. Diabetes 2016; 65: 927–941. doi: 10.2337/db15-0502
  28. Dolinsky VW, Chan AYM, Frayne IR, Light PE, Rosiers CD, Dyck JRB. Resveratrol prevents the prohypertrophic effects of oxidative stress on LKB1. Circulation 2009; 119: 1643–1652. doi: 10.1161/circulationaha.108.787440
  29. Rajapakse AG, Yepuri G, Carvas JM, Stein S, Matter CM, Scerri I, et al. Hyperactive S6K1 mediates oxidative stress and endothelial dysfunction in aging: inhibition by resveratrol. PLoS One 2011; 6: e19237. doi: 10.1371/journal.pone.0019237
  30. Demidenko ZN, Blagosklonny MV. At concentrations that inhibit mTOR, resveratrol suppresses cellular senescence. Cell Cycle 2009; 8: 1901–1904. doi: 10.4161/cc.8.12.8810
  31. Li N, Du Z, Shen Q, Lei Q, Zhang Y, Zhang M, et al. Resveratrol enhances self-renewal of mouse embryonic stem cells. J Cell Biochem 2017; 118: 1928–1935. doi: 10.1002/jcb.25942
  32. Liu M, Liu F. Resveratrol inhibits mTOR signaling by targeting DEPTOR. Commun Integr Biol 2011; 4: 382–384. doi: 10.4161/cib.4.4.15309
  33. Armour SM, Baur JA, Hsieh SN, Land-Bracha A, Thomas SM, Sinclair DA. Inhibition of mammalian S6 kinase by resveratrol suppresses autophagy. Aging 2009; 1: 515–528. doi: 10.18632/aging.100056
  34. Huang J, Gan Q, Han L, Li J, Zhang H, Sun Y, et al. SIRT1 overexpression antagonizes cellular senescence with activated ERK/S6k1 signaling in human diploid fibroblasts. PLoS One 2008; 3: e1710. doi: 10.1371/journal.pone.0001710

Footnote

Both authors contributed equally to this work.