ORIGINAL ARTICLE

Wheat oligopeptides enhance the intestinal mucosal barrier and alleviate inflammation via the TLR4/Myd88/MAPK signaling pathway in aged mice

Yang Xian, Pan Da, Yang Chao, Xia Hui, Yang Ligang, Wang Shaokang and Sun Guiju*

Key Laboratory of Environmental Medicine and Engineering, Ministry of Education/Department of Nutrition and Food Hygiene, School of Public Health, Southeast University, Nanjing, P.R. China

Popular scientific summary

Abstract

Background: Aging can induce oxidative stress, inflammation and mucosal impairment, and few works have been conducted to investigate the protective effects of WP on the natural intestinal aging process.

Objective: The present work aimed to examine the protective effect of wheat oligopeptides (WP) on intestine mucosal impairment in aged mice, and investigate the potential antioxidation, anti-inflammatory effects of WP.

Design: Seventy-two aged mice (24 months old) were randomly divided into six groups, 12 for each group. Twelve young mice (6 months old) were regarded as the young control group. WP (25, 50, 100, 200, or 400 mg/kg) or distilled water were administered daily by gavage for 30 days.

Results: Histological observations showed that intestinal mucosal degeneration was attenuated by WP pretreatment. WP exhibited remarkable antioxidant activity via increasing superoxide dismutase, glutathione peroxidase, total antioxidant capacity and catalase activities, and decreasing the malondialdehyde levels in small intestine mucosa. WP pretreatment significantly suppressed intestinal mucosa inflammation through the reduction of TNF-α, TGF-β, IFN-γ IL-1β and IL-6. WP markedly protect the intestinal mucosal barrier by decreasing the ICAM-1 level, and increasing ZO-1 and JAMA-A levels. WP significantly down-regulated protein expression levels of TLR4, Myd88, and MAPK, suggesting that WP have a potential effect on inhibiting aging-induced inflammatory responses by blocking TLR4/Myd88/MAPK signal transduction.

Conclusion: WP administration effectively alleviated intestinal mucosal impairment in aged mice. The potential mechanism was associated with enhancement of antioxidation and anti-inflammatory action and protection of the intestinal mucosal barrier.

Keywords: aging; intestinal mucosal impairment; intestinal barrier; wheat oligopeptides; anti-inflammatory

 

Citation: Food & Nutrition Research 2022, 66: 5690 - http://dx.doi.org/10.29219/fnr.v66.5690

Copyright: © 2022 Yang Xian et al. This is an Open Access article distributed under the terms of the Creative Commons Attribution 4.0 International License (http://creativecommons.org/licenses/by/4.0/), allowing third parties to copy and redistribute the material in any medium or format and to remix, transform, and build upon the material for any purpose, even commercially, provided the original work is properly cited and states its license.

Received: 4 November 2020; Revised: 4 January 2021; Accepted: 30 November 2021; Published: 14 February 2022

Competing interests and funding: The authors declare no conflict of interest.
This research was funded by National Key Research and Development Program of China, grant number 2016YFD0400604-02 and the Postgraduate Research & Practice Innovation Program of Jiangsu Province, grant number KYCX18_0187.

*Sun Guiju, Key Laboratory of Environmental Medicine and Engineering, Ministry of Education/Department of Nutrition and Food, Hygiene, School of Public Health, Southeast University, Nanjing, P.R. China. Email: gjsun@seu.edu.cn

 

Aging is a process of progressive decline in the metabolic and physiological function of tissues and organs within the body with age and involves various diseases (1, 2). Aging organisms release inflammatory cytokines, reactive oxygen species, and growth factors which contribute to monolithic aging (3). The main characteristics of biological aging are oxidative stress, inflammation, and decreased physiological function (4), which provide the potentially mechanistic understanding of why the elderly people have an enhanced risk for chronic disease (5, 6). With the aged population expanding around the world, aging has become one of the most topical issue in the world (7). Therefore, it is extremely important to research and solve the problem of aging (8).

The function of the mucosal immune system is impaired in elderly people (9). Therefore, the incidence of gastrointestinal disease in older people is relatively high, which is an important cause of mortality. Weakened intestinal barrier and tissue inflammation are also major characteristics of the elderly (10). Therefore, it is extremely important to improve the fragile intestinal barrier and systemic inflammation. Currently, nutrition and exercise are considered as the probable non-genetic strategies to combat the harmful effects of gradual aging. Nutrition has been considered as the extremely reasonable and feasible way to alleviate the progression and severity of age and associated diseases and ‘nutrigerontology’ has recently been advocated (11). Some antioxidants have been verified to help in delaying senescence and preventing age-related diseases through mitigating oxidation (12, 13).

Wheat oligopeptides (WP) are a kind of bioactive oligopeptides obtained from wheat protein hydrolysate, which have many kinds of biological functions, including antioxidant (14, 15), anti-inflammation (16), antimicrobial (17, 18), and anticancer activities (19). A large number of researches have been conducted to identify and characterize these bioactive oligopeptides.

The technology of preparation and identification of WP has been well developed (15, 20, 21). The studies on WP mainly concentrated on the in vitro experiment, but in-depth researches on WP are rarely studied. Our previous studies indicated that WP can play a vital role in promoting growth on intestine epithelial cells (22), and exert protective effects against NSAID-triggered small intestinal injury in rats by reducing oxidative stress and modulating μ-opioid receptor (14).

The protective mechanisms underlying aging-mediated degeneration of intestine mainly include anti-oxidation and anti-inflammation. However, only few works have been conducted to investigate the protective effects of WP on the natural intestinal aging process and the potential mechanisms. The current study was applied to assess the effects of WP on oxidative and inflammatory pathways involved in naturally senile mice.

Materials and methods

Chemicals and reagents

WP were supplied by China National Research Institute of Food & Fermentation Industries (Beijing, China). The molecular weights of the WP were 140−1,000 Da and accounted for 92% of the total prepared WP and included a 3−6 amino acid sequence, prepared by hydrolysis of papain method. WP consist of 98.3% protein, 0.05% lipid, 4.56% ash content, and 4.21% water.

The TRIZOL Reagent Kit of superoxide dismutase (SOD), malondialdehyde (MDA), catalase (CAT), glutathione peroxidase (GSH-PX), epidermal growth factor (EGF), interferon-γ (IFN-γ), total antioxidant capacity (TAOC), Aminopeptidase N (APN), interleukin 1β (IL-1β), transforming growth factor-β (TGF-β), tumor necrosis factor-alpha(TNF-α), interleukin-6 (IL-6), zonula occluden (ZO-1), junctional adhesion molecule (JAM-A), and intercellular cell adhesion molecule-1 (ICAM-1) were purchased from Kiel biological technology Co.(Shanghai, China). Primary antibodies against TLR4, Myd88, p38MAPK, phosphor-p38MAPK, p44/42, and phosphor-p44/42 were purchased from Cell Signaling (Beverly, MA, USA). Horseradish peroxidase conjugated secondary antibodies and β-actin were purchased from Proteintech.

Animals

Eighty-four male C57BL/6 mice (12 six-month-old mice in the young group and 72 24-month-old mice in the old group) were obtained from Vital River (Beijing, China) and housed under controlled environmental conditions of temperature (22±2°C), an entirely automated 12h/12h light/dark cycle. Mice were fed food pellets and given free access to drinking water. All animal experimental procedures were conducted in accordance with the guidelines of the Ethics Committee on the Care and Use of Laboratory Animals of Southeast University.

Experimental design

After 1-week acclimation, 72 aged mice were divided into six groups (12 mice for each group): (1) aged control group; (2) 25 mg/kg WP; (3) 50 mg/kg WP; (4) 100 mg/kg WP; (5) 200 mg/kg WP; (6) 400 mg/kg WP. Twelve young mice were used as the young control group. The mice of young and old control groups were given vehicle (saline) and treatment groups were administered wheat oligopeptide daily for 30 days.

On the final day of the animal test, all mice were fasted for 24 h but were allowed free access to water. All mice were sacrificed under anesthesia, blood samples were obtained without addition of anticoagulants and then centrifuged for 10 min at 3,000g to obtain clear sera, which would be stored at −80 °C before use. After the mice were euthanized, the intestine was exposed and perfused with 10% buffered formalin after pylorus ligation and then fixed in 20 min.

Histopathological observation

The small intestine samples removed from each mouse were fixed in 10% formalin solution for 24 h, dehydrated using graded alcohol and xylene, and embedded in paraffin. Paraffin sections were then cut into a thickness of 4 μm and stained with hematoxylin and eosin (H&E) for histological assessment. Sections were assessed by a blinded pathologist and scored for degeneration or necrosis of mucosal epithelial cells, transmural inflammation, the integrity of intestinal villi, infiltration of inflammatory cells in the lamina propria, and crypt abscessation on a scale from 0 (healthy) to 4 (most severe) (23). All tissue sections were evaluated under light microscope (Olympus BH2, Tokyo, Japan) at a magnification of 200×.

Measurement of MDA level, CAT, GSH-PX and SOD activity

The levels of MDA and the activities of CAT, SOD and GSH-PX in intestinal mucosa were evaluated using commercial kits that had been purchased from the Nanjing Jiancheng Bioengineering Institute (Nanjing, China), following the manufacturer’s instructions.

Measurement of TAOC and APN in intestine mucosa

TAOC and APN in intestine mucosa were determined using commercial kits that had been purchased from the Nanjing Jiancheng Bioengineering Institute (Nanjing, China), following the manufacturer’s instructions.

Determination of IFN-γ, IL-1β, and EGF in serum

The levels of IFN-γ, IL-1β, and EGF in the serum were measured using an enzyme-linked immunosorbent assay ELISA kits (Kiel, China) for mice according to the manufacturer’s instructions.

Determination of IL-6, ZO-1, JAM-A, TNF-α, TGF-β, and ICAM-1 in intestinal mucosa

Small intestine tissue samples were homogenized in 1 mL of phosphate buffer, followed by centrifugation of samples. The concentrations of IL-6, ZO-1, JAM-A, TNF-α, TGF-β, and ICAM-1 were detected using commercial enzyme-linked immunosorbent assay (ELISA) kits (Kiel, China) at a wavelength of 450 nm complying with the manufacturer’s instructions.

Western blot analysis

Intestinal tissue samples were lysed in a RIPA lysis buffer and the protein concentration was determined using the BCA protein assay kit. Equivalent extracts were separated by 12% SDS-polyacrylamide gel electrophoresis and blotted onto a polyvinylidene difluoride membrane. The membranes were incubated with specific primary antibodies at 4°C overnight. Whereafter, the membranes were subjected to proper secondary antibodies incubation. The detection of the protein bands was carried out using enhanced chemiluminescence detection reagent. The densities of bands were measured using the Image J software.

Statistical analysis

Data were represented as mean ± SEM of 12 mice per group. Differences between groups were analyzed statistically using one-way ANOVA followed by Dunnett’s test. SPSS statistical software version 22.0 was used to analyze the data according to the respective statistical techniques. Values were considered statistically significant when P < 0.05.

Results

WP Attenuated intestinal naturally aging in aged mice

As shown in Fig. 1a, in the young group, almost no intestine mucosal damage was detected. Villus height of the small intestine mucosa of the young control group is relatively consistent, and the structure of the villus is complete. The morphology of mucosal epithelial cells is normal and the nuclear membrane is clear. In the aged control group, the small intestinal mucosa villus (Fig. 1b) had local defects, became shorter and wider, and the villus density decreased. The mucosal epithelial cells became degenerated, necrotic, and exfoliated, and the infiltration of focal inflammatory cells in the lamina propria increased. Intervention of wheat oligopeptide can significantly improve the morphology of the small intestine, reduce the degeneration of epithelial cells, and decrease the infiltration of inflammatory cells and the density of villus (showed in Fig. 1c–h). The 25 and 50 mg/kg WP showed better protective effects.

Fig 1
Fig. 1. Histological evaluation of small intestine tissue. (a) young control group, (b) old control group, (c) 25 mg/kg WP, (d) 50 mg/kg WP, (e) 100 mg/kg WP, (f) 200 mg/kg WP, (g) 400 mg/kg WP, (h) histological score.

Changes of oxidative stress markers (MDA, CAT, GSH-PX, and SOD) in intestinal tissue

As shown in Fig. 2, the activities of SOD, GSH-PX, and CAT significantly decreased, and the MDA level in the old control group significantly increased compared to the young control group (all P < 0.05). Moreover, WP treatment obviously enhanced SOD, GSH-PX, and CAT activities of the intestine tissue, as compared with the old control group (all P < 0.05). WP consumption significantly decreased MDA levels in intestine tissue when compared with the levels in the old control group. Convincing epidemiological evidence indicated that aging can significantly decrease the SOD, CAT, and GSH-PX activities and increase MDA levels.

Fig 2
Fig. 2. Effect of WP pretreatment on activities of enzymatic antioxidants such as superoxide dismutase (SOD), catalase (CAT), and Glutathione peroxidase (GPx) and levels of malondialdehyde (MDA) of intestine mucosa in mice. All values are expressed as mean ± SD (n = 12), * P < 0.05 significant versus young group, # P < 0.05 significant versus aging group.

Changes of T-AOC and APN in intestine mucosa

As shown in Fig. 3, the T-AOC levels reflect the non-enzymatic antioxidant activity of the defense system. Herein, the activity of T-AOC in intestinal mucosa of the old control group was markedly lower (P < 0.05) than that of the young control group. Moreover, compared with the old model group, the WP-treated groups showed an increase in the T-AOC levels in intestinal mucosa (P < 0.05, Fig. 3a). The activity of APN in intestinal mucosa of the old mice was obviously lower (P < 0.05) than that of the young mice. Moreover, compared with the old model group, treatment of WP significantly increased the APN activity in intestinal mucosa.

Fig 3
Fig. 3. Effect of WP pretreatment on TAOC and APN of intestine mucosa in mice. All values are expressed as mean ± SD (n = 12), * P < 0.05 significant versus young group, # P < 0.05 significant versus aging group.

Changes of IFN-γ, IL-1β, and EGF levels in serum

As shown in Fig. 4, the aged model group had higher levels of IL-1β relative to the control group (P < 0.05), and WP treatment significantly reduced the IL-1β level. Aging progress obviously augmented IFN-γ level, which could be suppressed by WP intervention. The level of EGF in serum decreased in the aging group in comparison to normal group, and pretreatment with WP exhibited an obvious increase of EGF level.

Fig 4
Fig. 4. Effect of WP pretreatment on IL-1β, EGF, and IFN-γ content in serum of mice. All values are expressed as mean ± SD (n = 12), * P < 0.05 significant versus young group, # P < 0.05 significant versus aging group.

Changes of JAMA-A, IL-6, TGF-β, ICAM-1, ZO-1, and TNF-α levels in intestinal mucosa

As shown in Fig. 5, the intestinal mucosa’ TNF-α level was significantly enhanced in old mice and WP pretreatment suppressed the increased TNF-α level in comparison with the old mice (P < 0.05). The levels of JAMA-A and ZO-1 in the aged model group were obviously decreased when compared with the young group. WP consumption significantly increased JAMA-A and ZO-1 levels in intestine mucosal. In addition, the intestine mucosal IL-6 level was significantly enhanced in the old group, and was significantly suppressed by pretreatment with WP (P < 0.05).

Fig 5
Fig. 5. Effect of WP pretreatment on JAMA-A, IL-6, TGF-β, ICAM-1, ZO-1, and TNF-α levels in intestine mucosa of mice. All values are expressed as mean ± SD (n = 10), * P < 0.05 significant versus young group, # P < 0.05 significant versus aging group.

The ICAM-1 levels in intestine tissue were markedly increased in the aging mice in comparison to the normal group (P < 0.05). WP administration indicated a considerable decrease in the levels of TGF-β and ICAM-1 in intestine tissue.

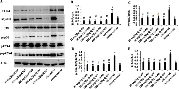
WP targets intestinal TLR4, Myd88, and MAPKs pathway

The signaling pathway of MAPKs in intestinal tissue was studied to further explore the inflammatory conditions. Western blot analysis of intestinal tissue showed that the aging progress significantly increased expression of TLR4 and Myd88 in comparison with the normal group (Fig. 6a–c). Treatment of mice with WP significantly prevented the expression of TLR4 and Myd88. Taken together, these results indicated that WP suppresses inflammatory response through downregulating the expression of TLR4 and Myd88.

Fig 6
Fig. 6. Effect of WP pretreatment on expressions of the inflammatory marker TLR4, Myd88, and MAPKs in intestinal tissue. Intestine homogenates were used for the analysis of protein expression of TLR4, Myd88, and MAPKs.

According to previous research, MAPKs pathways may affect the release of proinflammatory cytokine and transduce TLR4 signals. The present study investigated the effect of WP consumption on aging mediated activation of p38 and p42/44. As shown in Fig. 6, p38 and p42/44 phosphorylation in the intestine tissues of aged mice were markedly induced. WP pretreatment obviously suppressed aging-mediated phosphorylation of p38 and p42/44.

Discussion

WP exhibit diverse biological activities, including antioxidative and anti-inflammatory activity. The current study highlights the protective effect of WP against natural degeneration of the small intestine in aging mice at five doses (25, 50, 100, 200, and 400 mg/kg). The results indicate that aging can lead to oxidative stress, inflammation, and degradation of intestinal morphology and function, which is similar to previous studies (9, 24). The results also suggest that WP confer considerable protection to the mice intestinal mucosa degeneration via anti-inflammatory and anti-oxidative mechanisms.

Five doses of WP were used in the naturally aging mice model to assess an optimal dose. In our present study, the 25 and 50 mg/kg WP intervention exerted optimal protective effect by maintaining oxidative stress, inflammatory response, and intestinal barrier near young control. The higher doses of WP tested also exert dramatic protection from intestinal degeneration, but to a lesser degree. This negative dosage–effect relationship has been reported previously (14), however, more researches need to be conducted to confirm whether the lower dosage is the optimal dosage, and the lowest effective dose. This research displays that WP is effective in protecting aging-mediated intestinal impairment.

Aging can induce oxidative stress and impair antioxidant defense in experimental animals. Oxidative stress may lead to physiological dysfunction through the imbalance of the antioxidant/prooxidant ratio. The pathogenesis of aging may include production of oxygen derived free radicals, mainly hydroxyl radicals, superoxide anions, and lipid peroxides (25). Lipid peroxidation and free radical-induced antioxidizing enzymes inhibition may be conducive to intestinal mucosal degeneration (26). Antioxidant enzymes such as SOD, CAT, and GSH-Px play an important role in arresting the formation of reactive oxygen species and protecting the cells from the impairments induced by free radicals (27). As a secondary product of lipid peroxidation, accumulation of MDA is often used as an indicator to quantify and identify lipid peroxidation (28). As shown in Fig. 2, the highest contents of MDA but lowest activities of SOD, GSH-Px, as well as T-AOC were found in the aging group.

Our results support the fact that oxidative stress plays a vital role in the pathogenesis of aging intestine. Nevertheless, pretreatment with WP led to marked increases in the activities of SOD, GSH-Px, CAT, and T-AOC as well as a reduction in MDA formation, demonstrating its antioxidant activity. The present results suggested that WP potentially exhibited protective effect on aging intestine through antioxidant mechanism.

Aminopeptidase plays a vital role in the process of protein digestion and is widely distributed on the brush border of small intestinal mucosal epithelial cells (29). Most oligopeptides can only be absorbed after being hydrolyzed or transported into the cells by cytoplasmic peptidase in the brush border of the epithelial cells of the small intestine (30). The results showed that the activity of APN in the small intestinal mucosa of the elderly group was significantly reduced, when compared with the young group. WP treatment markedly increased the APN activity.

Epidermal growth factor (EGF) could accelerate protection and restoration of intestinal mucosa, primarily through activating Na+/H+ exchange of epithelial cells (31). Enhancement of EGF in intestinal mucosa can stimulate proliferation and migration of epithelial cells and accelerate epithelial regeneration and repair process (32). The treatment with WP caused a marked increase in EGF levels in serum. The present study revealed that the protective effects of WP on intestinal mucosa occurred by promoting the secretion of EGF.

Inflammation has been increasingly regarded as an important pathophysiological phenomenon in ageing (33). The present results indicated that aging significantly augmented inflammatory mediators, including TNF-α, IL-1β, IL-6, and IFN-γ, which is similar with previous studies (34, 35). Because chronic inflammation is a risk for impairment of the intestine mucosal immune system and morphology, agents that downregulate inflammatory reaction may have therapeutic benefits for mitigating intestinal mucosal damage (9). The treatment with WP caused significant reduction in TNF-α, IL-1β, IL-6, and IFN-γ levels, implying that the WP was capable of relieving intestinal mucosal inflammation.

The authors further evaluated the protein expression levels of TLR4, Myd88, and MAPK signal transduction pathway. Recently, some studies demonstrated TLR4 were significantly increased in the healthy aging tissues (36), and involved in the downstream activation of MAPK (37, 38). TLR4 are found to be potential inducers of MAPK transcriptional activities (39). The disorders of the MAPKs pathway have been formerly described in intestinal pathologies, and present findings revealed that aging triggered an increased phosphorylation of p-p38MAPK, p-ERK1/2 levels. These findings are consistent with previous reports. These results indicated that WP pretreatment could mitigate intestinal impairment triggered by aging through the MAPK pathway. Furthermore, activation of ERK1/2 signal transduction is associated with the increase of epithelial proliferation and mucosal repair in naturally aging models.

Aging also affects properties of the intestinal barrier, possibly impacting on age-related local and systemic disturbances (40). Some pro-inflammatory cytokines such as IL-1β, IL-6, IFN-γ, and TNF-α may also influence mucosal barrier integrity and tight junction status (24). Inflammation stimulation can trigger up-regulation of ICAM-1, which enhanced intestinal epithelial permeability via triggering downregulation of myosin light-chain kinase and accelerating ligation of other apically localized proteins (41, 42). The present study indicated that the progress of aging induces upregulation of ICAM-1 in intestinal mucosa, whereas WP treatment significantly suppressed the ICAM-1 level.

JAM-A plays a direct role in the regulation of epithelial permeability and the mucosal inflammatory response (43). JAM-A can affect several cellular processes, including polarity, adhesion, and migration of cell (44). JAM-A deficiency results in increased colonic inflammation and paracellular permeability. Aging markedly decreased the JAM-A level in intestinal mucosa, and pretreatment of WP significantly increased the level of JAM-A when compared with aged mice. ZO-1 can also influence endothelial and epithelial permeability, and conserve barrier function (45). The lower level of ZO-1 in intestinal mucosa was observed in aged mice, and WP administration significantly increased the ZO-1 level in comparison to the aged group.

The present results indicated that wheat oligopeptide can markedly protect the intestinal mucosal barrier of aging mice by decreasing the intestinal mucosal permeability and preventing the intestinal bacteria from translocating (Fig. 7).

Fig 7
Fig. 7. The mechanism pathways that intervened intestinal mucosal injury induced by aging and the intestinal protective effects of wheat oligopeptide. (→: activate; ┤: inhibit).

Conclusions

Pre-treatment with WP displays an effective protection against aging-mediated intestinal mucosal oxidative stress and inflammation. WP can further promote repair of intestinal mucosa and maintain the intestinal mucosal barrier. These finding show a new perspective on natural aging and provide nutritional strategies to curb the progression as well as deleterious aspects of aging. Therefore, WP will be worthy of research to further confirm anti-aging effects and alleviation of age-related diseases, due to its ability to alleviate oxidative stress, inflammation response, and cellular senescence. In particular, the results suggested that wheat oligopeptide is likely to be a promising functional to curb the progression and cause an impairment of aging.

Acknowledgments

All authors had reviewed and approved the final manuscript and are thankful for this.

Authors’ contributions

Conceptualization was done by Y.X., Y.L., P.D., and S.G; methodology and formal analysis were conducted by Y.X., Y.C., and X.H, writing and original draft preparation were done by Y.X., W.S., and S.G, writing-review and editing were done by Y.X., P.D., and S.G and funding acquisition was done by S.G. All authors have read and agreed to the published version of the manuscript.

References

  1. Salminen A, Kauppinen A, Kaarniranta K. FGF21 activates AMPK signaling: impact on metabolic regulation and the aging process. J Mol Med 2017; 95: 123–31. doi: 10.1007/s00109-016-1477-1
  2. Morita Y, Jounai K, Sakamoto A, Tomita Y, Sugihara Y, Suzuki H, et al. Long-term intake of Lactobacillus paracasei KW3110 prevents age-related chronic inflammation and retinal cell loss in physiologically aged mice. Aging-Us 2018; 10: 2723–40. doi: 10.18632/aging.101583
  3. Donato AJ, Morgan RG, Walker AE, Lesniewski LA. Cellular and molecular biology of aging endothelial cells. J Mol Cell Cardiol 2015;89:122–35. doi: 10.1016/j.yjmcc.2015.01.021
  4. Green DR, Galluzzi L, Kroemer G. Mitochondria and the autophagy-inflammation-cell death axis in organismal aging. Science 2011; 333: 1109–12. doi: 10.1126/science.1201940
  5. Piber D, Olmstead R, Cho JHJ, Witarama T, Perez C, Dietz N, et al. Inflammaging: age and systemic, cellular, and nuclear inflammatory biology in older adults. J Gerontol a-Biol 2019; 74: 1716–24. doi: 10.1093/gerona/glz130
  6. Ballak DB, Brunt VE, Sapinsley ZJ, Ziemba BP, Richey JJ, Zigler MC, et al. Short-term interleukin-37 treatment improves vascular endothelial function, endurance exercise capacity, and whole-body glucose metabolism in old mice. Aging Cell 2020; 19: e13074. doi: 10.1111/acel.13074
  7. He SD, Zhang ZY, Sun HJ, Zhu YC, Cao XD, Ye YK, et al. Potential effects of rapeseed peptide Maillard reaction products on aging-related disorder attenuation and gut microbiota modulation in d-galactose induced aging mice. Food Funct 2019; 10: 4291–303. doi: 10.1039/c9fo00791a
  8. Zhang D, Han J, Li Y, Yuan B, Zhou J, Cheong L, et al. Tuna oil alleviates d-galactose induced aging in mice accompanied by modulating gut microbiota and brain protein expression. J Agric Food Chem 2018; 66: 5510–20. doi: 10.1021/acs.jafc.8b00446
  9. Mabbott NA, Kobayashi A, Sehgal A, Bradford BM, Pattison M, Donaldson DS. Aging and the mucosal immune system in the intestine. Biogerontology 2015; 16: 133–45. doi: 10.1007/s10522-014-9498-z
  10. Li J, Wu T, Li N, Wang XN, Chen GY, Lyu XL. Bilberry anthocyanin extract promotes intestinal barrier function and inhibits digestive enzyme activity by regulating the gut microbiota in aging rats. Food Funct 2019; 10: 333–43. doi: 10.1039/c8fo01962b
  11. Verburgh K. Nutrigerontology: why we need a new scientific discipline to develop diets and guidelines to reduce the risk of aging-related diseases. Aging Cell 2015; 14: 17–24. doi: 10.1111/acel.12284
  12. Mayta-Apaza AC, Pottgen E, De Bodt J, Papp N, Marasini D, Howard L, et al. Impact of tart cherries polyphenols on the human gut microbiota and phenolic metabolites in vitro and in vivo. J Nutr Biochem 2018; 59: 160–72. doi: 10.1016/j.jnutbio.2018.04.001
  13. Sharma R, Padwad Y. Perspectives of the potential implications of polyphenols in influencing the interrelationship between oxi-inflammatory stress, cellular senescence and immunosenescence during aging. Trends Food Sci Technol 2020; 98: 41–52. doi: 10.1016/j.tifs.2020.02.004
  14. Yin H, Pan X-C, Wang S-K, Yang L-G, Sun G-J. Protective effect of wheat peptides against small intestinal damage induced by non-steroidal anti-inflammatory drugs in rats. J Integr Agr 2014; 13: 2019–27. doi: 10.1016/s2095-3119(13)60619-x
  15. Niu L-Y, Jiang S-T, Pan L-J. Preparation and evaluation of antioxidant activities of peptides obtained from defatted wheat germ by fermentation. J Food Sci Technol Mysore 2013; 50: 53–61. doi: 10.1007/s13197-011-0318-z
  16. Kan JT, Hood M, Burns C, Scholten J, Chuang J, Tian F, et al. A novel combination of wheat peptides and fucoidan attenuates ethanol-induced gastric mucosal damage through anti-oxidant, anti-inflammatory, and pro-survival mechanisms. Nutrients 2017; 9: 978. doi: 10.3390/nu9090978
  17. Oita S. Extraction and enzymatic degradation of antimicrobial peptides, alpha and beta-thionins, from barley and wheat. J Japanese Soc Food Sci Technol Nippon Shokuhin Kagaku Kogaku Kaishi 2000; 47: 424–30. doi: 10.3136/nskkk.47.424
  18. Egorov TA, Odintsova TI, Pukhalsky VA, Grishin EV. Diversity of wheat anti-microbial peptides. Peptides 2005; 26: 2064–73. doi: 10.1016/j.peptides.2005.03.007
  19. Jeong HJ, Jeong JB, Kim DS, Park JH, Lee JB, Kweon D-H, et al. The cancer preventive peptide lunasin from wheat inhibits core histone acetylation. Cancer Lett 2007; 255: 42–8. doi: 10.1016/j.canlet.2007.03.022
  20. Huang L, Liu B, Ma H, Zhang X. Combined effect of ultrasound and enzymatic treatments on production of ace inhibitory peptides from wheat germ protein. J Food Process Preserv 2014; 38: 1632–40. doi: 10.1111/jfpp.12125
  21. Wang L, Ding Y, Zhang X, Li Y, Wang R, Luo X, et al. Isolation of a novel calcium-binding peptide from wheat germ protein hydrolysates and the prediction for its mechanism of combination. Food Chem 2018; 239: 416–26. doi: 10.1016/j.foodchem.2017.06.090
  22. Yin H, Pan X, Song Z, Wang S, Yang L, Sun G. Protective effect of wheat peptides against indomethacin-induced oxidative stress in IEC-6 cells. Nutrients 2014; 6: 564–74. doi: 10.3390/nu6020564
  23. Tuganbaev T, Mor U, Bashiardes S, Liwinski T, Nobs SP, Leshem A, et al. Diet diurnally regulates small intestinal microbiome-epithelial-immune homeostasis and enteritis. Cell 2020; 182: 1441–+. doi: 10.1016/j.cell.2020.08.027
  24. Mabbott NA. A breakdown in communication? Understanding the effects of aging on the human small intestine epithelium. Clin Sci 2015; 129: 529–31. doi: 10.1042/Cs20150364
  25. Ames BN, Shigenaga MK. Oxidants are a major contributor to aging. Ann NY Acad Sci 1992; 663: 85–96. doi: 10.1111/j.1749-6632.1992.tb38652.x
  26. Zhang ZY, He SD, Cao XD, Ye YK, Yang L, Wang JH, et al. Potential prebiotic activities of soybean peptides Maillard reaction products on modulating gut microbiota to alleviate aging-related disorders in D-galactose-induced ICR mice. J Funct Foods 2020; 65: 103729. doi: 10.1016/j.jff.2019.103729
  27. He SD, Yu M, Sun HJ, Zhang ZY, Zhu YC, Zhao JL, et al. Potential effects of dietary Maillard reaction products derived from 1 to 3 kDa soybean peptides on the aging ICR mice. Food Chem Toxicol 2019; 125: 62–70. doi: 10.1016/j.fct.2018.12.045
  28. Li XM, Shi YH, Wang F, Wang HS, Le GW. In vitro free radical scavenging activities and effect of synthetic oligosaccharides on antioxidant enzymes and lipid peroxidation in aged mice. J Pharm Biomed Anal 2007; 43: 364–370. doi: 10.1016/j.jpba.2006.06.041
  29. Jardinaud F, Banisadr G, Noble F, Melik-Parsadaniantz S, Chen HX, Dugave C, et al. Ontogenic and adult whole body distribution of aminopeptidase N in rat investigated by in vitro autoradiography. Biochimie 2004; 86: 105–13. doi: 10.1016/j.biochi.2003.12.004
  30. Hooton D, Lentle R, Monro J, Wickham M, Simpson R. The secretion and action of brush border enzymes in the mammalian small intestine. Rev Physiol Biochem Pharmacol 2015; 168: 59–118. doi: 10.1007/112_2015_24
  31. Yanaka A, Suzuki H, Shibahara T, Matsui H, Nakahara A, Tanaka N. EGF promotes gastric mucosal restitution by activating Na+/H+ exchange of epithelial cells. Am J Physiol-Gastr L 2002; 282: G866–76. doi: 10.1152/ajpgi.00150.2001
  32. Hou YQ, Wang L, Yi D, Ding BY, Yang ZG, Li J, et al. N-acetylcysteine reduces inflammation in the small intestine by regulating redox, EGF and TLR4 signaling. Amino Acids 2013; 45: 513–22. doi: 10.1007/s00726-012-1295-x
  33. Ferrucci L, Fabbri E. Inflammageing: chronic inflammation in ageing, cardiovascular disease, and frailty. Nat Rev Cardiol 2018; 15: 505–22. doi: 10.1038/s41569-018-0064-2
  34. Koelman L, Pivovarova-Ramich O, Pfeiffer AFH, Grune T, Aleksandrova K. Cytokines for evaluation of chronic inflammatory status in ageing research: reliability and phenotypic characterisation. Immun Ageing 2019; 16: 11. doi: 10.1186/s12979-019-0151-1
  35. Ye L, Mauro TM, Dang E, Wang G, Hu LZ, Yu C, et al. Topical applications of an emollient reduce circulating pro-inflammatory cytokine levels in chronically aged humans: a pilot clinical study. J Eur Acad Dermatol 2019; 33: 2197–201. doi: 10.1111/jdv.15540
  36. Gonzalez OA, Kirakodu S, Novak MJ, Stromberg AJ, Orraca L, Gonzalez-Martinez J, et al. Comparative analysis of microbial sensing molecules in mucosal tissues with aging. Immunobiology 2018; 223: 279–87. doi: 10.1016/j.imbio.2017.10.034
  37. Sanjeewa KKA, Jayawardena TU, Kim H-S, Kim S-Y, Fernando IPS, Wang L, et al. Fucoidan isolated from Padina commersonii inhibit LPS-induced inflammation in macrophages blocking TLR/NF-kappa B signal pathway. Carbohydr Polym 2019; 224: 115195. doi: 10.1016/j.carbpol.2019.115195
  38. Bailey KL, Smith LM, Heires AJ, Katafiasz DM, Romberger DJ, LeVan TD. Aging leads to dysfunctional innate immune responses to TLR2 and TLR4 agonists. Aging Clin Exp Res 2019; 31: 1185–93. doi: 10.1007/s40520-018-1064-0
  39. Lan J, Dou XJ, Li JW, Yang Y, Xue CY, Wang CX, et al. L-arginine ameliorates lipopolysaccharide-induced intestinal inflammation through inhibiting the TLR4/NF-kappa B and MAPK pathways and stimulating beta-defensin expression in vivo and in vitro. J Agricult Food Chem 2020; 68: 2648–63. doi: 10.1021/acs.jafc.9b07611
  40. Man AL, Bertelli E, Rentini S, Regoli M, Briars G, Marini M, et al. Age-associated modifications of intestinal permeability and innate immunity in human small intestine. Clin Sci 2015; 129: 515–27. doi: 10.1042/cs20150046
  41. Sumagin R, Robin AZ, Nusrat A, Parkos CA. Transmigrated neutrophils in the intestinal lumen engage ICAM-1 to regulate the epithelial barrier and neutrophil recruitment. Mucosal Immunol 2014; 7: 905–15. doi: 10.1038/mi.2013.106
  42. Danese S, Semeraro S, Marini M, Roberto I, Armuzzi A, Papa A, et al. Adhesion molecules in inflammatory bowel disease: therapeutic implications for gut inflammation. Digest Liver Dis 2005; 37: 811–18. doi: 10.1016/j.dld.2005.03.013
  43. Laukoetter MG, Nava P, Lee WY, Severson EA, Capaldo CT, Babbin BA, et al. JAM-A regulates permeability and inflammation in the intestine in vivo. J Exp Med 2007; 204: 3067–76. doi: 10.1084/jem.20071416
  44. Mandell KJ, Babbin BA, Nusrat A, Parkos CA. Junctional adhesion molecule 1 regulates epithelial cell morphology through effects on beta 1 Integrins and Rap1 activity. J Biol Chem 2005; 280: 11665–74. doi: 10.1074/jbc.M412650200
  45. Zihni C, Mills C, Matter K, Balda MS. Tight junctions: from simple barriers to multifunctional molecular gates. Nat Rev Mol Cell Bio 2016; 17: 564–80. doi: 10.1038/nrm.2016.80