ORIGINAL ARTICLE

Bifidobacterium animalis subsp. lactis A12 prevents obesity-associated dyslipidemia by modulating gut microbiota-derived short-chain fatty acid production and energy metabolism in high-fat diet-fed mice

Tong Li1#, Jianjun Yang1#, Hongxing Zhang1, Yuanhong Xie1, Hui Liu1, Jianhua Ren2, Fazheng Ren3 and Junhua Jin1*

1Key Food Science and Engineering College, Beijing University of Agriculture, Beijing Laboratory of Food Quality and Safety, Beijing Key Laboratory of Detection and Control of Spoilage Organisms and Pesticide Residues in Agricultural Products, Beijing, China; 2Key College of Bioengineering, Beijing Polytechnic, Beijing, China; 3Key Laboratory of Precision Nutrition and Food Quality, Department of Nutrition and Health, China Agricultural University, Beijing, China

Popular scientific summary

Abstract

Background: Bifidobacterium lactis A12 (B. lactis A12) has been shown to have the potential to prevent obesity. However, the mechanisms by which it affects the control of energy metabolism have not been fully elucidated.

Objective: The present work aimed to clarify the mechanisms by that B. lactis A12 has an effect on the management of energy metabolism.

Design: Three- to five-week-old male C57BL/6J mice were randomly divided into five groups, 15 mice for each group. Low-fat diet (LFD) group and high-fat diet (HFD) group were fed with phosphate-buffered saline (PBS) on a daily basis. Cell-free supernatant (CFS), A12, and B. lactis BB12 (BB12) groups were fed with daily probiotics for 10 weeks (1 × 109 CFU of every strain).

Results: The results showed that A12 effectively alleviated relieved weight gain and dyslipidemia, inhibited liver adipose accumulation, and improved leptin resistance in HFD-fed mice (p < 0.05). The anti-obesity effects of B. lactis A12 were closely related to the assembly of short-chain fatty acids (SCFAs), SCFA-downstream receptors, and glucagon-like peptide-1 (GLP-1) secretion. Additionally, high-throughput sequencing of the 16S rRNA showed that B. lactis A12 supplementation reversed HFD-induced gut microbiota dysbiosis, which was possible related to the augmented abundance of SCFA-producing bacterium and a minimized ratio of Bacteroidetes to Firmicutes in mice.

Conclusions: B. lactis A12 prevents obesity in some pathways, including the downregulation of sterol regulatory element binding protein-1 mRNA levels in the liver, modulation of the structure of gut microbiota in a gut microbiota-dependent manner, and the upregulation of the SCFA-producing bacteria-related G protein-coupled receptor 43 pathway.

Keywords: Bifidobacterium; obesity; short chain fatty acids; gastrointestinal hormone; gut microbiota

 

Citation: Food & Nutrition Research 2022, 66: 8670 - http://dx.doi.org/10.29219/fnr.v66.8670

Copyright: © 2022 Tong Li et al. This is an Open Access article distributed under the terms of the Creative Commons Attribution 4.0 International License (http://creativecommons.org/licenses/by/4.0/), allowing third parties to copy and redistribute the material in any medium or format and to remix, transform, and build upon the material for any purpose, even commercially, provided the original work is properly cited and states its license.

Received: 18 March 2022; Revised: 18 July 2022; Accepted: 15 June 2022; Published: 5 October 2022

Competing interests and funding: The authors declare no conflict of interest.

*Junhua Jin, Food Science and Engineering College, Beijing University of Agriculture, Beijing Laboratory of Food Quality and Safety, Beijing Key Laboratory of Detection and Control of Spoilage, Organisms and Pesticide Residues in Agricultural Products, No. 7 Beinong Road, Huilongguan Town, Changping District, Beijing 102206, China. Email: jinjunhua002008@163.com

#These authors contributed equally and should be regarded as co-first authors.

 

Obesity has become a worldwide health problem, and as a result, its prevalence has increased rapidly within the last decades (1). Obesity, often characterized by the consumption of a high-calorie/fat diet and lacking of physical activity and referred to as a sort of clinical metabolic syndrome, appears because it cannot fully promote the utilization of fatty acids and the imbalance of lipid metabolism when intake surpasses energy consumption (2). At present, more and more research is devoted to find the effective treatment methods to decline the obesity rate. Some synthetic drugs used to treat obesity cause side effects and secondary failure (3, 4). Moreover, prevention is the best treatment option for any disease. Therefore, it is important to seek more natural and safer materials to prevent obesity.

Generally, probiotics colonize the intestinal tract and are beneficial to the health of the host. The gut origin of chronic diseases indicates that metabolic diseases are closely associated with gut microbiota (5, 6). Recent studies have highlighted that probiotics may exert their beneficial effects through the gut microbiota (7, 8). However, numerous studies have shown that probiotic mixtures can treat metabolic diseases, and research on a single strain has mainly focused on Lactobacillus (911).

Bifidobacterium is one of the major microbiota in the human intestinal tract, and some of its members are the most commonly used human probiotics (12, 13). However, the prospects of Bifidobacterium application in metabolic diseases have not been extensively explored, and the molecular mechanisms have not been fully elucidated, but it may be related to the regulation of gut microbiota (14).

Our previous in vivo studies have shown that B. lactis A12, a novel probiotic strain isolated from breast-fed infant faces, had a positive influence on the management of diabetes-related parameters, like blood glucose (15) and eased constipation (16), and some studies have suggested that probiotics appear to normalize gut dysbiosis in mice (10). We hypothesized that gut microbiota may play a vital role in the improvement of obesity by B. lactis A12. Thus, the potential mechanisms were clarified by this study. Our results shown that two separate regulatory pathways connecting intestinal flora and energy metabolism may be associated with the anti-obesity actions of B. lactis A12.

Materials and methods

Bacteria strain and culture condition

Bifidobacterium animalis subsp. lactis A12 strain (CGMCC No. 17308) was originally isolated from the fecal matter of a 1-month-old infant (vaginal delivery and breastfed) and identified by sequencing amplified 16S rDNA regions as described previously (15).

B. lactis A12 was cultured on improved De Man-Rogosa-Sharpe (MRS) medium (1L medium contained 20 g maltose, 10 g beef extract, 5 g soy peptone, 5 g malt extract, 5 g CH3COONa·3H2O, 2 g C6H5O7(NH4)3, 2 g K2HP04·3H2O, 1 ml Tween 80, 0.58 g MgSO4·7H2O, 0.5 g l-cysteine hydrochloride, and 0.25 g MnSO4·H2O), and pH was altered to 6.5, 37°C anaerobic culture for 12 h. The bacterial suspensions were centrifuged at 8,000 ×g (10 min, 4°C), washed three times with phosphate-buffered saline (phosphate-buffered saline (PBS), pH 7.4, Gibco, Life Technologies, Ghent, Belgium), and adjusted to a live bacterial concentration of 109 CFU/mL. The pH of B. lactis A12 cell-free supernatant (CFS) was altered to 6.5 and filtered through a 0.22 μm pore-size sterile filter (Millipore, Burlington, MA, USA). B. lactis BB12 was used as a reference strain because it has been widely used in commercial functional foods and has the potential to prevent obesity.

Animals experimental

All experiments were approved by the Ethical Committee of the Experimental Animal Care of Beijing University of Agriculture (Beijing, China). A total of 75 (3- to 5-week-old) male C57BL/6J mice, which obtained from Xinglong Experimental Animal Factory (Beijing, China), were housed in standard cages (three mice per cage), maintained under standard laboratory conditions, at ambient temperatures of 22–25°C, under a 12 h/12 h light/dark cycle, with a relative humidity of 40–60%, and allowed to access water and food freely.

Mice were arranged in five groups at random: low-fat diet (LFD) group (LFD and PBS, LFD, 10% kcal from fat, D12450B, Research Diets Inc., New Brunswick, NJ, USA, n = 15); high-fat diet (HFD) group (HFD and PBS, HFD, 60% kcal from fat D12492, Research Diets Inc., n = 15); CFS group (HFD and CFS of B. lactis A12, n = 15); A12 group (HFD and live B. lactis A12 cells, n = 15); BB12 group (HFD and live B. lactis BB12 cells, n = 15). All probiotics were administered daily for 10 weeks (1 × 109 CFU of each strain). In addition, we measured the weight of mice every week.

Biochemistry determination of serum

Biochemistry determination of serum was measured using enzyme-linked immunosorbent assay (ELISA) kit (Nanjing Jiancheng, Nanjing, China), including total cholesterol (T-CHO) (Code No. A111-2-1), triglyceride (TG) (Code No. A110-2-1), glucagon-like peptide-1 (GLP-1) (Code No. H294-1-2), leptin (Code No. H174-1-2), and adiponectin (Code No. H179-1-2), following the manufacturer’s protocol.

Histological evaluation

The liver tissues of mice were excised and treated as previously described (17). We quickly removed liver tissues, rinsed it with saline, and then fixed a tissue mass of approximately 2.0 cm×2.0 cm×0.3 cm size with 4% formaldehyde (Nanjing Jiancheng, Nanjing, China). After dehydration, paraffin embedding, and sectioning, liver tissue sections were stained with hematoxylin and eosin (H&E) staining. The histopathological changes of each tissue were observed with camera accessories under a high-resolution microscope (Nikon Eclipse Ti-SR, Japan).

Analysis of gene expression

Real-time polymerase chain reaction (RT-PCR) was used to analyze the relative transcript levels of β-actin, sterol regulatory element binding protein-1 (SREBP-1), peroxisome proliferator-activated receptors (PPAR-γ), G-protein coupled receptors (GPR43), glucagon (GCG), and prohormone convertase 3 (PC3). Following the manufacturer’s protocol, the TRIzol reagent (Ambion, Austin, TX, USA) was used to extract total RNA in colon and liver tissues. We used the PrimeScript™ II 1st Strand cDNA Synthesis Kit (TaKaRa, Kyoto, Japan) to obtain complementary DNA (cDNA) through reverse transcription. The primers used are listed in Table 1. PCR reaction conditions referred to our previous studies (15). Using the 2−∆∆Ct method, mRNA abundance was calculated (reference gene:β-actin) and expressed as a percentage of the control group induction (calibrator) (18).

Table 1. Oligonucleotide primers used to amplify RNA transcripts
Gene ID Primers name Oligonucleotide (5’-3’) Oligonucleotide (3’-5’)
11461 β-actin TGAGAGGGAAATCGTGCGTGAC GCTCGTTGCCAATAGTGATGACC
19013 PPAR-γ CAGGAGCAGAGCAAAGAGGT TGGACACCATACTTGAGCAGA
20787 SREBP-1 GGCTGTTGTCTACCATAAGC AGGAAGAAACGTGTCAAGAA
233079 GPR43 ACAGTGGAGGGGACCAAGAT GGGGACTCTCTACTCGGTGA
14526 GCG GCTTATAATGCTGGTGCAAGG CTGGGAAGCTGGGAATGAT
18548 PC3 TGGAGTTGCATATAATTCCAAAGTT AGCCTCAATGGCATCAGTTAC
Direction: Tm = 58°C.

Short-chain fatty acid (SCFA) concentrations quantified using gas chromatography (GC)

Fecal samples (0.2g) of the colon were collected immediately after the animals were dissected into a covered sterile centrifuge tube and then stored at -80°C until use. The SCFAs in feces were analyzed by GC, including acetate, propionate, and butyrate. According to the method of Goossens et al., we slightly modified it to analyze the SCFA concentration (19). We added 10 mmol/L HCl (1 mL) containing heptanoic acid (internal standard, Sigma Aldrich, Merck, Germany) to 1 mL of diluted fecal samples to form free fatty acids. SCFAs were extracted using 1 mL of diethyl ether, then transferred to a tube of 1.5 mL containing 0.3 g glass beads (Φ = 100 μm), and homogenized the mixture twice in a bead-beater chamber (Thermo Scientific, MA, USA) for 30 s each time. The solution was centrifuged (5,000 ×g for 2 min, at 4°C) and then filtered through a 0.22 μm sterile filter (Millipore, Burlington, MA, USA). One microliter of the supernatant was injected for measurement. SCFA concentration was measured as the number of millimoles per gram of feces after dilution correction.

DNA extraction and high throughput sequencing

Fecal samples collected using a sterile centrifuge tube with a lid were stored at -80°C until assay. We extracted DNA using the QIAamp DNA Stool Mini Kit (Qiagen, Hilden, Germany). Each 20μL PCR mixtures was as follows: 5 × TransStart FastPfu buffer 4 μL, 2.5 mM dNTPs 2 μL, forward primer (5 μM) 0.8 μL, TransStart FastPfu DNA Polymerase 0.4 μL, template DNA 10 ng, and up to 20 with ddH2O. The reaction conditions were 95 °C for 3 min, 35 cycles of 95 °C for 30 s, 55 °C for 30 s, 72 °C for 45 s, followed by 72 °C for 10 min.

PCR products were abstracted from 2.0% agarose gels. An AxyPrep DNA Gel Extraction Kit (Axygen Biosciences, Union City, USA) was used for purifying, following the manufacturer’s instructions, and the QuantiFluor™-ST Kit (Promega, USA) was used to quantify. The raw reads were stored in the NCBI Sequence Read Archive (SRA) database (Accession Number: SRP213006). In brief, raw FASTQ files were demultiplexed and quality-filtered using QIIME (version 1.17), and operational units (OTUs) were clustered with a 97% similarity cutoff using UPARSE (version 7.1, http://drive5.com/uparse/); chimeric sequences were identified and removed using UCHIME. The taxonomy of each 16S rRNA gene sequence was analyzed using the RDP Classifier (http://rdp.cme.msu.edu/) against the Silva (SSU115) 16S rRNA database (Release 128 http://www.arb-silva.de) using a confidence threshold of 70% (20). So, we explored the changes of bacterial community structure in each experimental group from the level of phylum and genus. The linear discriminant analysis effect size (LEfSe) and the PICRUSt software were used to analyze 16S rRNA data.

Statistical analysis

Data are indicated as the mean ± standard deviation (SD). The SPSS 16.0 software was used to analyze data by one-way analysis of variance (ANOVA). GraphPad Prism software was used for graphing. The Networkx software was applied to the Spearman correlation network between bacteria at the genus level. P value < 0.05 was indicated statistically significant. Except for animal experiments, three parallel tests were carried out in the assays.

Results

Effects of B. lactis A12 on physiologic and metabolic parameters

Continued intake of HFD for 10 weeks caused the development of obesity-associated dyslipidemia, which was mainly manifested in increased body weight gain, serum TG, T-CHO, and leptin levels, compared with the LFD group. Body weights of all groups increased after 10 weeks (Table 2). During the experiment, although there was no clear difference in body weights among LFD, CFS, A12, and BB12 groups, the HFD group was more than all these groups. It suggested that HFD-induced body weight and weight gain are prevented in mice treated with CFS, A12, and BB12.

Table 2. Effects on the morphometric and metabolic variables
LFD HFD CFS A12 BB12
Body weight (g)
Initial body weight 17.53 ± 1.87a 18.8 ± 0.89a 18.57 ± 1.1a 18.73 ± 0.83a 18.73 ± 0.95a
Finial body weight 25.39 ± 0.97a 29.85 ± 0.23b 26.35 ± 0.43a 27.6 ± 0.17a 26.96 ± 0.40a
Body weight gain 7.86 ± 0.45a 11.05 ± 0.12b 7.78 ± 0.23a 8.87 ± 0.69a 8.23 ± 0.55a
Food consumption (g/day) 3.04 ± 0.23ab 3.32 ±0.23a 2.26 ±0.41b 2.65 ± 0.17b 2.66 ± 0.33ab
Energy intake (kcal/mice/day) 11.72 ± 0.70a 17.39 ± 1.70bc 11.85 ± 2.00a 13.90 ± 2.13ac 13.95 ± 1.96ac
Organ weight (g)
Liver 0.78 ± 0.07a 1.145 ± 0.08b 0.72 ± 0.17a 0.69 ± 0.11a 0.82 ± 0.10a
Epididymal fat 0.32 ± 0.12a 0.72 ± 0.06b 0.37 ± 0.07a 0.43 ± 0.09a 0.37 ± 0.06a
Plasma
Triacylglycerol (mmol/L) 0.58 ± 0.08a 0.92 ± 0.13bc 0.48 ± 0.08a 0.62 ± 0.15ac 0.77 ± 0.11ac
Total cholesterol (mmol/L) 4.78 ± 0.2a 7.33 ± 0.38bc 3.44 ± 1.60a 3.30 ± 0.85a 4.89 ± 0.86ac
Serum
Leptin (ng/mL) 2.27 ± 0.17a 4.04 ± 0.36bc 2.65 ± 0.42a 2.38 ± 0.59a 3.19 ± 0.45ac
Adiponectin (mg/L) 8.43 ± 1.65a 3.59 ± 0.98bc 7.01 ± 0.96ac 8.13 ± 1.66a 7.41 ± 1.31a
Data are presented as the mean ± SD. Shoulders marked with different letters indicate significant differences (p < 0.05).

The CFS (2.26 g), A12 (2.65 g), and BB12 groups (2.66 g) displayed lower food intake than the HFD (3.32 g) group. In contrast, no significant difference was regarded between the LFD (3.04 g) group and the HFD group. Consistently, due to the different calories between the diets, the LFD (11.72 kcal), CFS (11.85 kcal), A12 (13.90 kcal), and BB12 groups (13.95 kcal) displayed less energy intake compared with the HFD group (17.39 kcal) (Table 2).

The liver is an important organ that participates in glucose and lipid metabolism. Epididymal fat, which is a white adipose tissue, represents the excess energy accumulated. Therefore, we examined the weight of liver and epididymal fat mass. Compared with the HFD group, the liver weight and epididymal fat mass in the LFD, CFS, A12, and BB12 groups were significantly decreased (p < 0.05) (Table 2).

Changes in lipid and hormone levels were also investigated. Our results suggested that serum levels of T-CHO, TG, and leptin in the HFD group had a significant increase compared with the LFD group, while adiponectin levels showed the opposite trend. The serum concentration of T-CHO was decreased in the CFS (3.44 mmol/L) and A12 (3.30 mmol/L) groups compared with the HFD group, and there was no significant difference between the BB12 (4.89 mmol/L) group and the HFD (7.33 mmol/L) group. Likewise, the CFS (0.48 mmol/L) group decreased in TG levels compared with the HFD group. However, there was no significant difference between the A12 (0.62 mmol/L) and BB12 (0.77 mmol/L) groups compared with the HFD (0.92 mmol/L) group. Additionally, leptin levels were decreased in the CFS (2.65 ng/mL) and A12 (2.38 ng/mL) groups compared with the HFD group (4.04 ng/mL). Furthermore, A12 (8.13 mg/L) and BB12 (7.41 mg/L) groups exhibited increased serum adiponectin levels compared with the HFD group (Table 2).

In short, these results indicated that continuous intake of B. lactis A12 CFS, live B. lactis A12 cells, or live B. lactis BB12 cells can reduce metabolic disorders in obese and leptin resistant mice.

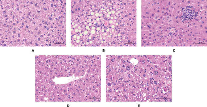
Effects of B. lactis A12 treatment on histology in liver tissue

The liver has a central role in lipid metabolism. Adipose in the liver originates from food and peripheral tissues. Compared with the LFD histological section, the section of liver in the HFD group showed a large number of fat vesicles, which characterized hepatic steatosis (red arrow). However, the CFS, A12, and BB12 groups did not exhibit fat accumulation in the liver parenchyma (Fig. 1).

Fig 1
Fig. 1. Morphologic characterization of liver tissue samples. Original magnification: 400×, scale bar: 50 μm. (A) LFD group. (B) HFD group. (C) CFS group. (D) A12 group. (E) BB12 group. Hepatic steatosis as indicated by the red arrow.

mRNA expression of genes involved in adipogenesis in liver tissue

Adipogenesis is a process in which preadipocytes differentiate into adipocytes. Several transcription factors and binding proteins, including the PPAR and SERBP families, are expressed sequentially and cooperatively during adipocyte differentiation. PPAR-γ is a key regulatory factor in adipogenesis and influences adipose accumulation. SERBP-1 regulates adipose synthesis (1).

Compared with the HFD group, all groups exhibited a decreased PPAR-γ mRNA expression in liver tissue (p > 0.05) (Fig. 2). SERBP-1 mRNA levels in liver tissue decreased in the CFS, A12, and BB12 groups compared with the HFD group, but only the expression level of SERBP-1 mRNA in the CFS group decreased significantly (Fig. 2B). Our findings showed that B. lactis A12 reduced the gene expression of PPAR-γ and SERBP-1, which led to a reduction in fat deposition in the liver.

Fig 2
Fig. 2. mRNA abundance with the genes involved in adipocytes differentiation-related gene relative expression in the liver tissue. (A) mRNA abundance with the PPAR-γ. (B). mRNA abundance with the SERBP-1. Data are presented as means ± SD. *p < 0.05 vs. HFD.

B. lactis A12 improved SCFAs-producing capacity and enhanced mRNA levels of GPR43

It has been suggested that SCFAs are produced by insoluble carbohydrates, which are fermented in the colon by probiotics. SCFAs play a pivotal role in regulating the balance of the intestinal microecological environment and host metabolism (21, 22). To investigate the content of SCFAs regulated by B. lactis A12, we quantified SCFA concentrations in faces by GC. The concentrations of acetic acid and propionic acid were higher in the CFS and A12 groups than in the HFD group, and there was no significant difference among the LFD, BB12, and HFD groups. Butyric acid levels were increased in the A12 (0.269 mmol/g) and BB12 (0.270 mmol/g) groups compared with the HFD group, and there was no significant difference among the LFD (0.197 mmol/g), CFS (0.233 mmol/g), and HFD (0.196 mmol/g) groups (Fig. 3A, B, and C).

Fig 3
Fig. 3. SCFAs receptors gene expression in colonic tissue and SCFAs levels in fecal samples. (A) Acetic acid level. (B) Propionic acid level. (C) Butyric acid level. (D) mRNA abundance with the GPR43. Data are presented as means ± SD. *p < 0.05 vs. HFD. #p < 0.05 vs. LFD.

SCFAs confer some of their biological effects via G protein-coupled receptors (GPRs), known as GPR43, which has beneficial roles in energy and glucose homeostasis (23, 24). Consequently, we further investigated mRNA expression of GPR43 in colon tissue. All groups significantly increased the mRNA expression of GPR43 compared with the HFD group. Together, these results indicated that the CFS, A12, and BB12 groups could upregulate GPR43 mRNA levels and promote the production of SCFAs (Fig. 3D).

Secretion and expression of GLP-1 in vivo

Probiotics usually colonize and play vital roles in the intestinal tract, and some endocrine hormones in the intestinal tract may be the key targets underlying these beneficial functions. GLP-1 is synthesized and secreted by enteroendocrine L-cells in the whole small and large intestine, and proglucagon is processed after translation by PC3 (25, 26). GLP-1 can enhance glucose and lipid homeostasis by reducing food intake and stimulating insulin secretion. Butyrate has been suggested to stimulate the secretion of GLP-1 to exhibit metabolic effects (9). Consequently, the secretion of GLP-1 and the expression of PC3 and GCG genes in colonic tissue were further evaluated.

Compared with the HFD group (0.020 pmmol/L), serum GLP-1 levels in the CFS (0.040 pmmol/L), A12 (0.037 pmmol/L), and BB12 (0.062 pmmol/L) groups were significantly increased (Fig. 4). GCG mRNA levels were significantly increased in all tested groups compared with the HFD group, and the abundance of the PC3 gene was noticeably higher in the A12 and BB12 groups than in the HFD group, but there was no significant difference in PC3 mRNA expression among the CFS, LFD, and HFD groups (Fig. 4B, C). These results indicated that the CFS of B. lactis A12, live B. lactis A12, and B. lactis BB12 cells could increase the expression and secretion of GLP-1.

Fig 4
Fig. 4. Effect of B. lactis A12 on GLP-1 secretion and expression. (A) GLP-1 level in serum. (B) mRNA abundance with the GCG. (C) mRNA abundance with the PC3. Data are presented as means ± SD. (A) Shoulder marked with the different letter indicates that the difference was significant. (B) and (C) p < 0.05. *p < 0.05 vs. HFD. #p < 0.05 vs. LFD.

Effects of B. lactis A12 treatment on gut microbiota

High-throughput sequencing was performed on fecal samples to analyze the effect of B. lactis A12 on the composition of gut microbiota. A total of 2,066,662 high-quality sequences of the V3–V4 region of the 16S rRNA were collected from 20 fecal samples (four groups and five samples per group), and the average sequence length was 418 bp. After removing the low-quality reads, 1,033,331 OTUs at a 97% similarity level were reserved.

Firmicutes and Bacteroidetes were the two major bacterial phyla in all groups (Fig. 5). Compared with the LFD group, a low ratio of Firmicutes to Bacteroidetes was observed in the HFD group. Meanwhile, compared with the HFD (31.15%) group, the CFS (35.46%) and A12 (38.56%) groups increased the relative abundance of Bacteroidetes. A heatmap of Spearman’s correlation analysis was performed at the genus level (Fig. 5B), and according to the clustering tree, compared with the HFD group, a similar community composition was shown among the CFS, A12, and LFD groups. In addition, Romboutsia was the dominant genus in the LFD group. Muribaculaceae was dominant in the CFS and A12 groups, and Bacteroides was the major genus in the HFD group.

Fig 5
Fig. 5. The composition of gut microbiota. (A) The taxonomic composition distribution and relative abundance with phylum level (the species of which abundance was less than 0.5% in all samples were classified into ‘others’ in other ranks). (B) Heatmap of Spearman’s correlation analysis between gut microbiota on the genus level (the relative abundances with 15 key phylotypes).

The LEfSe method was used to analyze the crucial species that changed significantly after all treatments, and the threshold of logarithmic LDA score of 2 was used to distinguish features. According to the size of the LDA score (Fig. 6B), the A12 group was characterized by higher amounts of Faecalibaculum, Anaeroplasma, Muribaculaceae, Muribaculum, Mollicutes_RF39, Prevotellaceae_UCG_001, and GCA_900066225. The enrichment of Bacteroides_vulgatus, Alistipes_finegoldii, Akkermansia, Helicobacter, Gordonibacter, Bacteroides_uniformis, Bittarella_massiliensis, Erysipelatoclostridium, Enterorhabdus, Ruminococcaceae, and Eggerthellaceae significantly increased the gut microbiota of the HFD group. The dominant bacteria in the LFD group were Lactobacillus, Firmicutes, Bifidobacterium, Barnesiella, ASF356, and Rhodospirillales. The CFS group was characterized by Coriobacteriaceae_UCG_002, Dubosiella, Candidatus_Saccharimonas, Marvinbryantia, Arcobacter, Mollicutes_RF39, and Coprococcus_3.

Fig 6
Fig. 6. Structure and key species of gut microbiota responding to high-fat diet and B. lactis A12 supplementation. (A) Taxonomic cladogram obtained from the LEfSe analysis of the 16S rRNA sequencing. (B) The taxa meeting an LDA significant threshold >2.

Predicted metabolic profile of the fecal microbiome after B. lactis A12 supplementation

In view of the above structural changes, the 16S rRNA data were further analyzed using PICRUSt to predict the metabolism of fecal microbiota in all groups. The Kyoto Encyclopedia of Genes and Genomes database (KEGG, http://www.genome.jp/kegg/) was used for determining whether B. lactis A12 caused obvious changes in the functional pathways of the gut microbiota in mice.

The B. lactis A12 could regulate metabolism, genetic information processing, and environmental information processing-related pathways (Fig. 7). The metabolic pathways involved in purine and pyrimidine metabolism (nucleotide metabolism), starch and sucrose metabolism (carbohydrate metabolism), glycolysis (carbohydrate metabolism), and amino sugar and nucleotide sugar metabolism (carbohydrate metabolism) were characterized. The genetic information processing pathways involved in ribosome and aminoacyl-tRNA biosynthesis (translation) were characterized. The environment information processing pathway involved in ABC transporters (membrane transport).

Fig 7
Fig. 7. Predicted metabolic profile of the fecal microbiome after the B. lactis A12 supplementation. The 16S rRNA data were further analyzed as indicated by the PICRUSt. Statistical significance difference was assessed using the unpaired two-tailed Student’s t-test (p < 0.05) in STAMP.

Discussion

Few studies have focused on the effects of Bifidobacterium, and the molecular mechanisms have not been fully demonstrated (14). Therefore, the current study aimed to elucidate underlying mechanisms of Bifidobacterium-mediated prevention of obesity. Our previous in vivo studies elucidated that B. lactis A12 plays a beneficial role in the management of metabolism-related parameters, including blood glucose and insulin levels (15). In this study, we observed reduced body weight and less energy intake associated with B. lactis A12 administration; meanwhile, B. lactis A12 prevented obesity-associated dyslipidemia and reduced leptin resistance. Liver lipid accumulation is a marker of obesity induced by HFD, and we found that liver weight was noticeably increased in the HFD group, and B. lactis A12 decreased the weight of liver tissue. A study has shown that HFD-induced fatty liver was intervened by a probiotic mixture, consistent with our results (10). In addition, Lactobacillus rhamnosus LRa05 improves lipid accumulation in mice fed with a high fat diet via regulating intestinal microbiota, reducing glucose content, and promoting liver carbohydrate metabolism (27). However, we investigated mRNA expression levels of adipose accumulation- and differentiation-related genes. We observed that B. lactis A12 inhibited liver adipose accumulation by downregulating SERBP-1 mRNA levels, which was our new finding on the improvement of obesity by B. lactis A12.

SCFAs are byproducts of non-digestible dietary components metabolized by gut microbiota and have some potential beneficial functions, including maintaining the dynamic equilibrium for intestinal microecology (28) and regulating energy homeostasis (29), which are all closely related to obesity. Various SCFAs, including acetate, propionate, and butyrate, have differential metabolic effects (30, 31). Our results demonstrated that B. lactis A12 promoted the enrichment of acetate, propionate, and butyrate. Similar results concerning the beneficial effects of probiotics have also been observed in other studies (32, 33). Some studies showed that the expression of GPR43 stimulated by SCFAs can improve glucose tolerance (11). To verify B. lactis A12 could prevent obesity, mediated by promoting the enrichment of SCFAs, we further investigated the mRNA expression of GPR43 in colon tissue. Compared with the HFD group, all groups significantly increased the mRNA expression of GPR43 (Fig. 3B). Together, these results indicated that B. lactis A12 could prevent obesity by upregulating GPR43 mRNA levels and promoting the production of SCFAs. Furthermore, probiotics colonize and play vital roles in the intestinal tract, and we postulate that the intestinal tract may be a key target through which B. lactis A12 improves obesity-related parameters. Some studies showed that intestinal expression of GPR43 improves glucose tolerance and reduces food intake by promoting the secretion of GLP-1 from L cells (34). Additionally, GLP-1 secretion has been related to the modulation of energy homeostasis in other studies (35). Consequently, we evaluated the secretion of GLP-1 and verified the results with the PC3 and GCG expression in colonic tissue. These findings indicated that B. lactis A12 increased the expression and secretion of GLP-1. Taken together, the protective metabolic effects of B. lactis A12 were mediated by SCFA production and the SCFAs-GPR43-GLP-1 pathway.

Because the origin of several chronic diseases resides in the gut, we can conclude that metabolic diseases are closely associated with gut microbiota. Although probiotics have been used for decades, the relationship between gut microbiota, its manipulation, and metabolic syndrome has only recently been the attention. Various strategies have been suggested to adjust these imbalances of gut microbiota (also known as intestinal dysbiosis) in obesity; however, the underlying mechanisms leading to these benefits are unclear (7, 8). Consequently, we assessed the effects of B. lactis A12 on the composition of gut microbiota and gut microbial diversity. More importantly, we investigated the correlation between the dominant bacteria, B. lactis A12, and obesity and predicted the metabolic profile of the fecal microbiome. Some studies have reported that a high Bacteroidetes-to-Firmicutes ratio is related to enhanced energy harvesting from food, which suggests that these two main phyla are essential for regulating obesity (3639). Consistently, our high-throughput sequencing analysis of gut microbiota demonstrated the prevalence of Firmicutes increased and Bacteroidetes decreased. The heatmap results (Fig. 5B) at the genus level clarified that the CFS and A12 groups exhibited clear divergences in the community structure of the gut microbiota compared with the HFD group and were similar to the LFD group. To further explore the key species that play a vital role in stimulating the production of SCFAs, the abundance of the top 15 species with significant changes was investigated. Bacteroides_vulgatus, Eggerthellaceae, and Erysipelatoclostridium were the dominant bacteria in the HFD group, similar to previous studies (40). Notably, some beneficial bacteria, including Faecalibaculum (mainly produce butyrate), Anaeroplasma (fermentation of polysaccharides to produce SCFAs), Muribaculaceae (produce succinate, acetate, and propionate), Mollicutes_RFS9 (associated with less weight gain), and Prevotellaceae_UGG_001, were markedly increased in the A12 group (4143). In addition, Coriobacteriaceae_UCG_002 (beneficial effects in type 2 diabetes) and Coprococcus_3 (associated with a low body mass index or high microbial richness in both animals and humans) were markedly increased in the CFS group (44, 45). Although the effects of Dubosiella, Candidatus_Saccharimonas, Marvinbryantia, Arcobacter, and Mollicutes_RF39 on lipid and glucose metabolism are not well-documented, these might also be conducive to maintain energy homeostasis of the body. Based on this phenomenon, we concluded that B. lactis A12 may regulate the abundance of SCFA-producing bacteria in the gut, thereby regulating the SCFAs’ production. Finally, this study predicted the metabolic profile of the fecal microbiome after the B. lactis A12 consumption. Interestingly, B. lactis A12 could regulate metabolism, genetic, and environmental information processing-related pathways in HFD-fed mice, indicating that B. lactis A12 may regulate the gut microbiota in a variety of ways to prevent HFD-induced obesity. However, because of the complexity of the gut microbiota, the precise regulatory mechanism of B. lactis A12 needs to be further elucidated.

Conclusions

In this study, our findings indicated that B. lactis A12, a novel probiotic strain isolated from breast-fed infant faces, can effectively suppress HFD-induced obesity. Two regulatory pathways may be involved in the anti-obesity actions of B. lactic A12. First, B. lactis A12 inhibited liver adipose accumulation through downregulation of SERBP-1 mRNA levels. Second, B. lactis A12 increased the abundance of SCFA-producing bacteria in the gut and, eventually, mediated beneficial effects on the host via the SCFAs-GPR43-GLP-1 pathway. Our findings indicated that B. lactis A12 may be potentially used to prevent obesity and metabolic syndrome. Further studies are needed to clarify the mechanisms of specific metabolic interactions modulated by B. lactis A12 and to determine whether these changes play a critical role in human metabolism.

Acknowledgments

This study was supported by the Research project of Beijing Municipal Education Commission (KM202010020002) and Ningxia Hui Autonomous Region’s key research and development plan ‘Research on strain breeding of the characteristic lactic acid bacteria and development key technology and industrial application of the functional yogurt product’ (2020BBF02023).

Authors’ contributions

Project administration and supervision: F.R. and J.J.; investigation and writing: T.L. and J.Y.; methodology: H.Z.; conceptualization and software: Y.X. and H.L.; validation: J.R. All authors have read and agreed the published version of the manuscript.

References

1. Hadrich F, Sayadi S. Apigetrin inhibits adipogenesis in 3T3-L1 cells by downregulating PPARγ and CEBP-γα. Lipids Health Dis 2018; 17: 95. doi: 10.1186/s12944-018-0738-0
2. Haslam DW, James WP. Obesity. Lancet 2005; 366: 1197–209. doi: 10.1016/S0140-6736(05)67483-1
3. Yanovski SZ, Yanovski JA. Long-term drug treatment for obesity: a systematic and clinical review. JAMA 2014; 311: 74–86. doi: 10.1001/jama.2013.281361
4. Heymsfield SB, Wadden TA. Mechanisms, pathophysiology, and management of obesity. N Engl J Med 2017; 376: 254–66. doi: 10.1056/NEJMra1514009
5. Tian P, Li B, He C, Song W, Hou A, Tian S, et al. Antidiabetic (type 2) effects of Lactobacillus G15 and Q14 in rats through regulation of intestinal permeability and microbiota. Food Funct 2016; 7: 3789–97. doi: 10.1039/c6fo00831c
6. Sato J, Kanazawa A, Ikeda F, Yoshihara T, Goto H, Abe H, et al. Gut dysbiosis and detection of ‘live gut bacteria’ in blood of Japanese patients with type 2 diabetes. Diabetes Care 2014; 37: 2343–50. doi: 10.2337/dc13-2817
7. Gomes AC, Bueno AA, de Souza RG, Mota JF. Gut microbiota, probiotics and diabetes. Nutr J 2014; 13: 60. doi: 10.1186/1475-2891-13-60
8. Kootte RS, Vrieze A, Holleman F, Dallinga-Thie GM, Zoetendal EG, De Vos WM, et al. The therapeutic potential of manipulating gut microbiota in obesity and type 2 diabetes mellitus. Diabetes Obes Metab 2012; 14: 112–20. doi: 10.1111/j.1463-1326.2011.01483.x
9. Yadav H, Lee JH, Lloyd J, Walter P, Rane SG. Beneficial metabolic effects of a probiotic via butyrate-induced GLP-1 hormone secretion. J Biol Chem 2013; 288: 25088–97. doi: 10.1074/jbc.M113.452516
10. Bagarolli RA, Tobar N, Oliveira AG, Araújo TG, Carvalho BM, Rocha GZ, et al. Probiotics modulate gut microbiota and improve insulin sensitivity in DIO mice. J Nutr Biochem 2017; 50: 16–25. doi: 10.1016/j.jnutbio.2017.08.006
11. Li K, Tian P, Wang S, Lei P, Qu L, Huang J, et al. Targeting gut microbiota: Lactobacillus alleviated type 2 diabetes via inhibiting LPS secretion and activating GPR43 pathway. J Funct Foods 2017; 38: 561–70. doi: 10.1016/j.jff.2017.09.049
12. Russell DA, Ross RP, Fitzgerald GF, Stanton C. Metabolic activities and probiotic potential of bifidobacteria. Int J Food Microbiol 2011; 149: 88–105. doi: 10.1016/j.ijfoodmicro.2011.06.003
13. Zuo F, Yu R, Feng X, Chen L, Zeng Z, Khaskheli GB, et al. Characterization and in vitro properties of potential probiotic Bifidobacterium strains isolated from breast-fed infant feces. Ann Microbiol 2016; 66: 1027–37. doi: 10.1007/s13213-015-1187-x
14. Moya-Pérez A, Neef A, Sanz Y. Bifidobacterium pseudocatenulatum CECT7765 reduces obesity-associated inflammation by restoring the lymphocyte-macrophage balance and gut microbiota structure in high-fat diet-FedMice. PLoS One 2015; 10: e0126976. doi: 10.1371/journa-l.pone.0126976
15. Li T, Yang J, Zhang H, Xie Y, Jin J. Bifidobacterium from breastfed infant faeces prevent high-fat-diet-induced glucose tolerance impairment, mediated by the modulation of glucose intake and the incretin hormone secretion axis. J Sci Food Agric 2020; 100: 3308–18. doi: 10.1002/jsfa.10360
16. Ma J, Ren P, Ren Y Jin J, Liu H. Study on intestinal dynamic distribution of Bifidobacterium lactis A12 and its effect on constipation relief. J Beijing Agricult Univ 2021; 36: 114–20. doi: 10.13473/j.cnki.issn.1002-3186.2021.0320
17. Xiao S, Zhang Z, Chen M, Zou J, Jiang S, Qian D, et al. Tang ameliorates dyslipidemia in high-fat diet-induced obese rats via elevating gut microbiota-derived short chain fatty acids production and adjusting energymetabolism. J Ethnopharmacol 2019; 241: 112032. doi: 10.1016/j.jep.2019.112032
18. Wei S, Chen Y, Chen M. Selecting probiotics with the abilities of enhancing GLP-1 to mitigate the progression of type 1 diabetes in vitro and in vivo. J Funct Foods 2015; 18: 473–486. doi: 10.1016/j.jff.2015.08.016
19. Goossens D, Jonkers D, Russel M, Stobberingh E, Van Den Bogaard A, et al. The effect of Lactobacillus plantarum 299v on the bacterial composition and metabolic activity in faeces of healthy volunteers: a placebo-controlled study on the onset and duration of effects. Aliment Pharmacol Ther 2003; 18: 495–505. doi: 10.1046/j.1365-2036.2003.01708.x
20. Amato KR, Yeoman CJ, Kent A, Righini N, Carbonero F, Estrada A, et al. Habitat degradation impacts black howler monkey (Alouatta pigra) gastrointestinal microbiomes. ISME J 2013; 7: 1344–53. doi: 10.1038/ismej.2013.16
21. Brown AJ, Goldsworthy SM, Barnes AA, Eilert MM, Tcheang L, Daniels D, et al. The Orphan G protein-coupled receptors GPR41 and GPR43 are activated by propionate and other short chain carboxylic acids. J Biol Chem 2003; 278: 11312–19. doi: 10.1074/jbc.M211609200
22. Le Poul E, Loison C, Struyf S, Springael JY, Lannoy V, Decobecq ME, et al. Functional characterization of human receptors for short chain fatty acids and their role in polymorphonuclear cell activation. J Biol Chem 2003; 278: 25481–89. doi: 10.1074/jbc.M301403200
23. Kimura I, Ozawa K, Inoue D, Imamura T, Kimura K, Maeda T, et al. The gut microbiota suppresses insulin-mediated fat accumulation via the short-chain fatty acid receptor GPR43. Nat Commun 2013; 4: 1829. doi: 10.1038/ncomms2852
24. Tolhurst G, Heffron H, Lam YS, Parker HE, Habib AM, Diakogiannaki E, et al. Short-chain fatty acids stimulate glucagon-like peptide-1 secretion via the G-protein-coupled receptor FFAR2. Diabetes 2012; 61: 364–71. doi: 10.2337/db11-1019
25. Drucker DJ. The biology of incretin hormones. Cell Metab 2006; 3: 153–65. doi: 10.1016/j.cmet.2006.01.004
26. Belguesmia Y, Domenger D, Caron J, Dhulster P, Ravallec R., Drider D, et al. Novel probiotic evidence of lactobacilli on immunomodulation and regulation of satiety hormones release in intestinal cells. J Funct Foods 2016; 24: 276–86. doi: 10.1016/j.jff.2016.04.014
27. Sun M, Wu T, Zhang G, Liu R, Sui W, Zhang M, et al. Lactobacillus rhamnosus LRa05 improves lipid accumulation in mice fed with a high fat diet via regulating the intestinal microbiota, reducing glucose content and promoting liver carbohydrate metabolism. Food Funct 2020 Nov 18; 11(11): 9514–25. doi: 10.1039/d0fo01720e
28. Feng Q, Chen WD, Wang YD. Gut microbiota: an integral moderator in health and disease. Front Microbiol 2018; 9: 151. doi: 10.3389/fmicb.2018.00151
29. Makki K, Deehan EC, Walter J, Bäckhed F. The impact of dietary fiber on gut microbiota in host health and disease. Cell Host Microbe 2018; 23: 705–15. doi: 10.1016/j.chom.2018.05.012
30. Canfora EE, Meex RCR, Venema K, Blaak EE. Gut microbial metabolites in obesity, NAFLD and T2DM. Nat Rev Endocrinol 2019; 15: 261–73. doi: 10.1038/s41574-019-0156-z
31. Larraufie P, Martin-Gallausiaux C, Lapaque N, Dore J, Gribble FM, Reimann F, et al. SCFAs strongly stimulate PYY production in human enteroendocrine cells. Sci Rep 2018; 8: 74. doi: 10.1038/s41598-017-18259-0
32. Aoki R, Kamikado K, Suda W, Takii H, Mikami Y, Suganuma N, et al. A proliferative probiotic Bifidobacterium strain in the gut ameliorates progression of metabolic disorders via microbiota modulation and acetate elevation. Sci Rep 2017; 7: 43522. doi: 10.1038/srep43522
33. Ishizuka A, Tomizuka K, Aoki R, Nishijima T, Saito Y, Inoue R, et al. Effects of administration of Bifidobacterium animalis subsp. lactis GCL2505 on defecation frequency and bifidobacterial microbiota composition in humans. J Biosci Bioeng 2012; 113: 587–91.
34. Lee T, Schwandner R, Swaminath G, Weiszmann J, Cardozo M, Greenberg J, et al. Identification and functional mcharacterization of allosteric agonists for the G protein-coupled receptor FFA2. Mol Pharmacol 2008; 74: 1599–609. doi: 10.1124/mol.108.049536
35. Madsbad S. Exenatide and liraglutide: different approaches to develop GLP-1 receptor agonists (incretin mimetics) – preclinical and clinical results. Best Pract Res Clin Endocrinol Metab 2009; 23: 463–77. doi: 10.1016/j.beem.2009.03.008
36. Turnbaugh PJ, Ley RE, Mahowald MA, Magrini V, Mardis ER, Gordon JI, et al. An obesity-associated gut microbiome with increased capacity for energy harvest. Nature 2006; 444: 1027–31. doi: 10.1038/nature05414
37. Schwiertz A, Taras D, Schäfer K, Beijer S, Bos NA, Donus C, et al. Microbiota and SCFA in lean and overweight healthy subjects. Obesity (Silver Spring) 2010; 18: 190–5. doi: 10.1038/oby.2009.167
38. Collado MC, Isolauri E, Laitinen K, Salminen S. Distinct composition of gut microbiota during pregnancy in overweight and normal-weight women. Am J Clin Nutr 2008; 88: 894–99. doi: 10.1093/ajcn/88.4.894
39. Turnbaugh PJ, Hamady M, Yatsunenko T, Cantarel BL, Duncan A, Ley RE, et al. A core gut microbiome in obese and lean twins. Nature 2009; 457: 480–4. doi: 10.1038/nature07540
40. Aron-Wisnewsky J, Prifti E, Belda E, Ichou F, Kayser BD, Dao MC, et al. Major microbiota dysbiosis in severe obesity: fate after bariatric surgery. Gut 2019; 68: 70–82. doi: 10.1136/gutjnl-2018-316103
41. Xie R, Sun Y, Wu J, Huang S, Jin G, Guo Z, et al. Maternal high fat diet alters gut microbiota of offspring and exacerbates DSS-induced colitis in adulthood. Front Immunol 2018; 9: 2608. doi: 10.3389/fimmu.2018.02608
42. Zhou D, Fan JG. Microbial metabolites in non-alcoholic fatty liver disease. World J Gastroenterol 2019; 25: 2019–28. doi: 10.3748/wjg.v25.i17.2019
43. Zagato E, Pozzi C, Bertocchi A, Schioppa T, Saccheri F, Guglietta S, et al. Endogenous murine microbiota member Faecalibaculum rodentium and its human homologue protect from intestinal tumour growth. Nat Microbiol 2020; 5: 511–24. doi: 10.1038/s41564-019-0649-5
44. Tap J, Furet JP, Bensaada M, Philippe C, Roth H, Rabot S, et al. Gut microbiota richness promotes its stability upon increased dietary fibre intake in healthy adults. Environ Microbiol 2015; 17: 4954–64. doi: 10.1111/1462-2920.13006
45. Liu H, Zhang H, Wang X, Yu X, Hu C, Zhang X, et al. The family Coriobacteriaceae is a potential contributor to the beneficial effects of Roux-en-Y gastric bypass on type 2 diabetes. Surg Obes Relat Dis 2018; 14: 584–93. doi: 10.1016/j.soard.2018.01.012