ORIGINAL ARTICLE

The effect of extra virgin olive oil on HSP27 expression in the cerebral cortex of male Rattus norvegicus middle cerebral artery occlusion model

Abdulloh Machin1,2,3*, Viskasari Pintoko Kalanjati4, Anisa Nur’aini Abidah5, Paulus Sugianto1,2, Joni Susanto4 and Azizah Amimathul Firdha6

1Departement of Neurology, Faculty of Medicine, Universitas Airlangga, Surabaya, Indonesia; 2Universitas Airlangga Hospital, Surabaya, Indonesia; 3Dr. Soetomo General Academic Hospital, Surabaya, Indonesia; 4Departement of Anatomy, Histology and Pharmacology, Faculty of Medicine, Universitas Airlangga, Surabaya, Indonesia; 5Faculty of Medicine, Universitas Airlangga, Surabaya, Indonesia; 6Indonesian Medical Association (IDI) Surabaya Chapter, Surabaya, Indonesia

Popular scientific summary

Abstract

Background: Ischemic stroke produces oxidative stress in neurons and neuroglial, triggering a cellular response with HSP27 as one of the markers. Extra virgin olive oil (EVOO) is reported to act as a neuroprotection by inhibiting reactive oxygen species, which can modulate HSP27.

Objective: To analyze the potential neuroprotection of EVOO containing 7-g MUFA on the expression of HSP27 in the cerebral cortex of Rattus norvegicus Wistar strain middle cerebral artery occlusion (MCAO) model.

Design: MCAO-Rattus norvegicus Wistar male rodents (n = 32), randomly divided into negative control (sham), positive control (P0), MCAO added EVOO 0.5 mL/kg body weight (P1), and MCAO added EVOO 2 mL/kg body weight (P2); the experiment was conducted 14 days. The nuclei of neurons, glial, and expression of HSP27 on the cerebral cortex were analyzed using Image J software, data were compared between groups with a significance level of P < 0.05.

Results: There were significant differences in the neuron and glia nuclei numbers between groups (P = 0.01). There was also a significant difference in cerebral cortex HSP27 expression between groups (P = 0.006).

Conclusion: There was a significant down-regulated of HSP27 in the cerebral cortex of the male Rattus norvegicus Wistar strain MCAO model given EVOO with 7 g of MUFA content at a dose of 0.5–2 mL/kgBW.

Keywords: EVOO; olive oil; MCAO; HSP27; stroke

 

Citation: Food & Nutrition Research 2024, 68: 9500 - http://dx.doi.org/10.29219/fnr.v68.9500

Copyright: © 2024 Abdulloh Machin et al. This is an Open Access article distributed under the terms of the Creative Commons Attribution 4.0 International License (http://creativecommons.org/licenses/by/4.0/), allowing third parties to copy and redistribute the material in any medium or format and to remix, transform, and build upon the material for any purpose, even commercially, provided the original work is properly cited and states its license.

Received: 9 March 2023; Revised: 10 June 2023; Accepted: 11 June 2023; Published: 08 January 2024

Equal first authors.

*Abdulloh Machin, Departement of Neurology, Faculty of Medicine, Universitas Airlangga, Surabaya, Indonesia. Email: abdulloh.m@fk.unair.ac.id

Competing interests and funding: The authors have not received any funding or benefits from industry or elsewhere to conduct this study.

To access the supplementary material, please visit the article landing page

 

Stroke is a rapid focal neurological deficit caused by the brain’s blood flow disruption (1). Recently, stroke has been the second leading cause of death and long-term disability worldwide, whose incidence continues to increase. According to WHO Global Health Estimate 2019, stroke is the second leading cause of death with 11% rate and the third cause of disability in the world (2). Stroke can be either ischemic (caused by blockage of a blood vessel) or hemorrhagic (caused by rupture of a blood vessel) (1). When an ischemic stroke occurs, the brain’s blood supply is disrupted and causes glucose and oxygen deprivation of brain cells. It leads to high-energy phosphate compounds, such as adenosine triphosphate (ATP) failure (3, 4).

ATP synthesis failure prevents the plasma membrane Ca2+ ATPase from maintaining its low intracellular calcium concentration. High levels of intracellular calcium, sodium, and adenosine diphosphate (ADP) cause mitochondria to produce reactive oxygen species (ROS) that would cause cell damage. Excess ROS relative to antioxidant defense is defined as an oxidative stress (5).

Cells respond to stress conditions in various ways, from activating survival pathways or initiating damaged cell death through apoptosis, necrosis, and autophagy (6). The ischemic cascade also activates various neuroprotective mechanisms to defend against apoptotic cell death and necrosis, one of which is heat shock response (3). This response will induce heat shock proteins (HSP) such as HSP27 and HSP70 (6).

Heat shock protein 27 (HSP27) can function as an antioxidant by increasing intracellular glutathione levels to reduce ROS (7). HSP27, under stress conditions, will interact with phosphatidylinositol 3-kinase (PI3-K), which can increase the expression of protein kinase B (Akt). Akt will phosphorylate Bax, which in turn prevents the formation of pores in the mitochondrial membrane, thereby preventing the release of cytochrome C (8). HSP27 requires phosphorylation to suppress cell death mediated by apoptosis signal-regulating kinase 1 (ASK1) and as neuroprotection against ischemic injury (9).

Extra virgin olive oil (EVOO) is a Mediterranean diet component used as the main source of fats. It contains polyphenols such as oleuropein (OLE) and its derivatives, one of which is hydroxytyrosol (HT) (10). The antioxidant and antiinflammatory properties of phenolic compounds in olive oil have been considered a neuroprotective food ingredient that can be used to prevent and treat ischemic brain injury (11).

Oleuropein (OLE) exerts neuroprotective activity by reducing brain infarction volume and improving neurobehavioral function after ischemic-reperfusion cerebral injury in rats. Quantitative analysis showed that OLE treatment significantly decreased caspase-3. In addition, oleuropein exhibits an antiapoptotic effect by increasing the Bcl-2/Bax ratio through increasing Bcl-2 expression and decreasing Bax expression (12).

In a previous study, pre-treatment of heart muscle using phenolic components such as OLE, HT, and quercetin, one of the components found in olive leaves and fruit, caused a decrease in HSP27 phosphorylation by reducing ROS and eliminating the prosurvival pathway regulated by HSP27 (13). The neuroprotective effects of olive oil are generally well described; however, the effect of EVOO on HSP27 in brain tissue remains unknown. This present study examines whether EVOO, with its phenolic content, is associated with changes in the HSP27 in response to cerebral ischemia.

Materials and methods

The Animal Care and Use Committee (ACUC) Faculty of Veterinary Medicine, Universitas Airlangga, examined and approved the study procedure.

Experimental animals

This study used healthy 4 months old male Rattus norvegicus Wistar strain with body weight between 175 and 225 g who were given the same treatment before the experiment. The domestic ethics committee has approved all experimental protocols. A total of 32 rats were used in this study (8 rats in each experimental group).

Middle cerebral artery occlusion model

Middle cerebral artery occlusion (MCAO) models were made using modified MCAO model by bulldog clamps guideline by Machin et al. (14). To make the MCAO model, we give Ketamine 80 mg/kgBW and Xylazine 10 mg/kgBW intraperitoneally to anesthetize Rattus norvegicus. Following anesthesia of the Rattus norvegicus, we perform an excision in the right neck until the carotid communis can be seen, distinguish the carotid artery until we find the internal carotid, and then clamp the artery using a small bulldog clamp for 180 min. After 180 min, the bulldog clamp is released, and the neck incision is closed. After the anesthesia wore off, the rats were gently held by the tail, maintained at the height of 1 meter above the floor, and observed for their forelimbs’ flexion. Normal rats will extend both their forelegs towards the floor, whereas rats with ischemia will keep their extremities flexed in the contralateral hemisphere.

EVOO treatment

In this study, rats were divided into four experimental groups: (1) sham vehicle group (sham), (2) MCAO model without EVOO treatment (P0), (3) MCAO model treated with 0.5 mL/kgBW EVOO (P1), and (4) MCAO model treated with 2 mL/kgBW EVOO (P2). EVOO was bought in a local supermarket (-7.267310535221966, 112.77149463276754), and the MUFA content for P1 is 0.35 g/kgBW and for P2 is 1.4 g/kgBW g. EVOO intervention was given peroral once a day for 14 consecutive days.

Tissue preparation and immunohistochemistry

On the 15th day, rats were given propofol anesthesia at a dose of 0.1 mg/100 g BW and were sacrificed. Rat brains were carefully removed and embedded in paraffin. The paraffin block was cut into 5 µm thick sections, placed on the slide, and melted at 65ºC for 2 h. After that, slides were dipped in xylene solution three times (5 min each) to remove paraffin, rehydrated with ethanol (99, 96, 80, and 70%), and further used for immunohistochemistry (IHC). Slides were then soaked in tris buffer for 1 h. Endogenous peroxidase activity was quenched using a 3% peroxide solution and rinsed with tris buffer for 3 min. The primary antibody used was rabbit HSP27 (74C) monoclonal antibody (1:100, bsm-52757R, Bioss, USA) and counterstained by hematoxylin.

Immunohistochemistry reading

Ten fields of view photos of the neurocortex were taken using Olympus Microscopes, Japan (CX31) with 400× magnification and a computer with Windows OS to transfer the output from the microscope into a computer image. Photos were then analyzed and quantified using ImageJ software (15).

Statistical analysis

Statistical analysis was performed using the SPSS version 25.0 (IBM Corp, Armonk: NY, USA). All variables were tested descriptively. The normality and homogeneity tests were performed using the Shapiro-Wilk and Levene tests. Expression differences between groups were assessed using the Kruskal-Wallis followed by the Mann-Whitney test or one-way ANOVA followed by the post-hoc Tukey test. A probability of < 0.05 was considered statistically significant.

Results

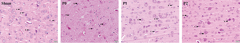
To evaluate neuronal and glial survival after MCAO and the effect of EVOO therapy, we did routine staining of brain tissue using hematoxylin and eosin (H&E). Neuron cell nuclei and glial cell nuclei were counted and compared. Neuron has open-faced type nucleoli that are clearly visible with basophilic cytoplasm. Astrocyte cell has round, open-faced type nucleoli, while the oligodendrocyte cell nucleus is round decent chromatin type with invisible nucleoli. The microglia cell nucleus looks oval or flat.

After MCAO induction, the cerebral cortex’s total number of neuron cells decreased (P < 0.005). EVOO administration for 14 days in the MCAO model at a dose of 0.5 mL/kgBW dose or 2 mL/kgBW increased the number of neuron cells (P < 0.005) (see Tables 1 and 2).

Table 1. The result of neuron cell nuclei numbers in the cerebral cortex of the Rattus norvegicus model MCAO
Group Mean ± SEM Median Normality Shapiro-Wilk (P) Homogenity Levene (P) One-way ANOVA (P)
Sham 44.513 ± 2.54365 45.1500 0.855 0.317 0.01*
P0 30.703 ± 1.81728 31.8600 0.502
P1 46.113 ± 1.7297 45.1000 0.560
P2 47.613 ± 1.5441 47.8500 0.794
SEM, standard error of the mean; EVOO, extra virgin olive oil; P0, control group (MCAO without EVOO); P1, MCAO with 0.5 mL/kgBW of EVOO; P2, MCAO with 2 mL/kgBW of EVOO.

 

Table 2. The result of the post-hoc Tukey test of neuron cell nuclei number in the cerebral cortex of the Rattus norvegicus model MCAO
Group 1 Group 2 P
Sham P0 0.01*
P1 0.937
P2 0.677
P0 P1 0.01*
P2 0.01*
P1 P2 0.947
MCAO, middle cerebral artery occlusion; P0, control group (MCAO without EVOO); P1, MCAO with 0.5 mL/kgBW of EVOO; P2, MCAO with 2 mL/kgBW of EVOO.
*P < 0.005.

After the MCAO model, glial cells increased due to gliosis and glial cell response to central nervous system (CNS) damage. Contrary to the increased number of neuron cell nuclei, EVOO administration at a dose of 0.5 mL/kgBW dose and 2 mL/kgBW in the MCAO model decreased glial cell nuclei (P < 0.005) (see Tables 3 and 4). (see Figure 1).

Table 3. The result of glial cell nuclei number in the cerebral cortex of the Rattus norvegicus model MCAO
Group Mean ± SEM Median Normality Shapiro-Wilk (P) Homogenity Levene (P) One-way ANOVA (P)
Sham 25.1875 ± 1.2241 23.8000 0.051 0.321 0.01*
P0 26.1531 ± 1.7237 28.6000 0.077
P1 28.9750 ± 2.0237 28.5000 0.128
P2 24.4000 ± 2.0691 21.4000 0.794
MCAO, middle cerebral artery occlusion; SEM, standard error of the mean; EVOO, extra virgin olive oil; P0, control group (MCAO without EVOO); P1, MCAO with 0.5 mL/kgBW of EVOO; P2, MCAO with 2 mL/kgBW of EVOO.

 

Table 4. The result of post-hoc Tukey test of glial cell nuclei number in the cerebral cortex of the Rattus norvegicus model MCAO
Group 1 Group 2 P
Sham P0 0.01*
P1 0.948
P2 0.947
P0 P1 0.01*
P2 0.01*
P1 P2 0.7
MCAO, middle cerebral artery occlusion; P0, control group (MCAO without EVOO); P1, MCAO with 0.5 mL/kgBW of EVOO; P2, MCAO with 2 mL/kgBW of EVOO.
*P < 0.005.

Fig 1
Fig. 1. Comparison between neuron cell nuclei numbers and glial cell numbers in the cerebral cortex of Sham, P0 (MCAO without EVOO), P1 (MCAO with EVOO 0.5 mL/kgBW) group, and P2 (MCAO with EVOO 2 mL/kgBW). Counted cells consist of (a) neurons, (b) astrocytes, (c) oligodendrocytes, and (d) microglia. MCAO, middle cerebral artery occlusion; EVOO, extra virgin olive oil.

Table 5 presents the result of HSP27 expression in Rattus norvegicus model MCAO given EVOO. The median values of the sham, P0, P1, and P2 groups in HSP27 expression are 1.2655, 2.1785, 1.1700, and 0. 8200, respectively. There is a significant difference in H SP27 expression between the four groups (P = 0.006). T a ble 6 presents the result of the Mann-Whitney test of H SP27 expression in the cerebral cortex. There was a significant difference in the glial cell nuclei number between P0 with sham, P1, and P2 groups (P = 0.046, P = 0.009, P = 0.05, respectively) (see Table 6 and Figures 2 and 3).

Table 5. The result of HSP27 expression in Rattus norvegicus model MCAO given EVOO
Group Mean ± SEM Median Normality Shapiro-Wilk (P) Homogenity Levene (P) Kruskal-Wallis (P)
Sham 1.2204 ± 0.1021 1.2655 0.624 0.01 0.006*
P0 2.4190 ± 0.4546 2.1785 0.156
P1 1.1220 ± 0.1526 1.1700 0.030
P2 0.9080 ± 0.1526 0.8200 0.154
MCAO, middle cerebral artery occlusion; SEM, standard error of the mean; EVOO, extra virgin olive oil; P0, control group (MCAO without EVOO); P1, MCAO with 0.5 mL/kgBW of EVOO; P2, MCAO with 2 mL/kgBW of EVOO.
*P < 0.05.

 

Table 6. The result of the Mann-Whitney test of HSP27 expression in the cerebral cortex of the Rattus norvegicus model MCAO
Group 1 Group 2 P
Sham P0 0.046*
P1 0.401
P2 0.083
P0 P1 0.009*
P2 0.005*
P1 P2 0.083
MCAO, middle cerebral artery occlusion; P0, control group (MCAO without EVOO); P1, MCAO with 0.5 mL/kgBW of EVOO; P2, MCAO with 2 mL/kgBW of EVOO.
*P < 0.05.

Fig 2
Fig. 2. The result of the IHC staining for HSP27 expression in the cerebral cortex of Sham, P0 (MCAO without EVOO), P1 (MCAO with EVOO 0.5 mL/kgBW), and P2 (MCAO with EVOO 2 mL/kgBW) groups. MCAO, middle cerebral artery occlusion; EVOO, extra virgin olive oil.

Fig 3
Fig. 3. Quantitative data of HSP27 expression in rat cerebral cortex in four experimental groups.

Discussion

The widely used meal EVOO has positive health advantages. Olive oil is a mechanically extracted product from the Olea europaea L. (family Oleaceae) plant that contains a glycerol fraction of 90–99% and a non-soap fraction of 0.4–5% (16). EVOO is an olive oil kind that goes through the greatest natural processing with the least amount of outside assistance. EVOO is made by mechanically pressing olives to obtain their natural oil (17). The EVOO product has an inadequate acidity level of 0.8% and no flavor flaws (18).

As previously described, we observed changes in the expression of HSP27 as a biomarker and therapeutic target of cerebral ischemic condition (19, 20). Based on the results of descriptive and statistical analysis, it was seen that the P0 (MCAO without EVOO) group had the highest average HSP27 expression compared to the other groups. This is consistent with previous studies where ischemia conditions can increase HSP27 expression, especially in reactive astrocytes, and some are also found in neuronal cells (19, 21). This is caused by changes in HSP27 oligomerization due to oxidative stress (22).

Treatment groups P1 (MCAO with EVOO 0.5 mL/kgBW) and P2 (MCAO with EVOO 2 mL/kgBW) showed decreased HSP27 expression. This decrease was probably caused by EVOO administration. EVOO administration may cause depression in HSP27 expression in rat cerebral cortex. EVOO contains polyphenols such as oleuropein (OLE) and its derivatives such as hydroxytyrosol (HT), which have neuroprotective benefits and antioxidants that can be used in the prevention and therapy of brain injury ischemia (10, 11). HSP27 expression, as an antiapoptotic agent, decreases mitochondrial damage and cell apoptosis during stress. Inhibiting HSP27 expression will make cells more susceptible to apoptosis, which may result in organ failure. Due to its ability to regulate both cell death and survival, HSP27 now occupies a crucial position. HSP27 also works as an antioxidant, reducing ROS and iron levels while increasing intracellular glutathione levels. By reducing ROS levels, HSP27 maintains a balanced redox state to prevent mitochondrial malfunction, cell damage, and cell death. Overexpressing HSP27 in HSP27 transgenic mice prevented cells from suffering further neuronal damage by preventing ASK1-dependent MKK4/JNK activation (23). Intravenous injection of HSP27 in the MCAO mouse model also showed inhibition of apoptosis and inflammatory responses (7). However, the antioxidant benefits that HSP27 has to exist during its large oligomeric conditions (24).

Increased intracellular ROS at the beginning of oxidative stress induce HSP27 in the form of large oligomers that have antioxidant functions. At the same time, MAPKAP kinase 2/3 starts phosphorylating HSP27, rendering it to a small oligomeric form (25). Phosphorylated HSP27 inhibits the rise of intracellular glutathione, inhibiting its function as an antioxidant (24).

In previous research, the phenolic compounds of the olive plant, such as oleuropein (OLE), hydroxytyrosol (HT), and quercetin, caused a decrease in HSP27 phosphorylation. It has also been shown to decrease MAPKAP kinase 2, which plays a role in HSP27 phosphorylation. In addition, these phenolic components also have a protective effect by reducing ROS and eliminating prosurvival pathways regulated by HSP27 (13). Another study also found that antioxidant enzyme administration reduced ROS explosion and decreased the HSP27 (26). Several EVOO components, especially polyphenols and vitamin E, have clear antioxidant benefits for cells and tissues (27, 28).

In summary, our study highlights the effect of EVOO in the Rattus norvegicus model MCAO through downregulation of HSP27 expression. This action is possible because EVOO could decrease the ROS and lipid peroxidation.

Our study is a true experimental study that uses EVOO. It provides new insights into the neuroprotective mechanism of EVOO in stroke models that should be followed in clinical trials. Our study allows us to manage potential confounding variables because it is a true experimental trial.

The current study’s shortcomings should also be taken into account. Firstly, to determine the efficacy of EVOO consumption in stroke patients, our study uses an animal model that should be validated in clinical trials, including humans. Secondly, we used the semiquantitative data from the IHC method, which required assistance from other researchers to quantify the markers.

Conclusions

There was a significant downregulation of HSP27 in the cerebral cortex of the male Rattus norvegicus Wistar strain middle cerebral artery occlusion (MCAO) model given EVOO with 7 g of MUFA content at a dose of 0.5 mL/kgBW and 2 mL/kgBW.

Acknowledgments

This work was supported by the Faculty of Medicine, Airlangga University – Dr. Soetomo General Academic Hospital.

References

1. Grysiewicz RA, Thomas K, Pandey DK. Epidemiology of ischemic and hemorrhagic stroke: incidence, prevalence, mortality, and risk factors. Neurol Clin 2008; 26(4): 871–95. doi: 10.1016/j.ncl.2008.07.003
2. World Health Organization. Global health estimates: life expectancy and leading causes of death and disability. Genewa: World Health Organization; 2019.
3. Deb P, Sharma S, Hassan KM. Pathophysiologic mechanisms of acute ischemic stroke: an overview with emphasis on therapeutic significance beyond thrombolysis. Pathophysiology 2010; 17(3): 197–218. doi: 10.1016/j.pathophys.2009.12.001
4. Huang J, Upadhyay UM, Tamargo RJ. Inflammation in stroke and focal cerebral ischemia. Surg Neurol 2006; 66(3): 232–45. doi: 10.1016/j.surneu.2005.12.028
5. Shankar K, Mehendale HM. Oxidative stress. In: Wexler P, ed. Encyclopedia of Toxicology. 3rd ed. Oxford: Academic Press; 2014, pp. 735–7.
6. Fulda S, Gorman AM, Hori O, Samali A. Cellular stress responses: cell survival and cell death. Int J Cell Biol 2010; 2010: 1–23. doi: 10.1155/2010/214074
7. Shimura H, Tanaka R, Urabe T, Hattori N. Heat shock protein 27 (HSP27) as a therapeutic target in ischemic stroke and neurodegenerative disorders. Juntendo Med J 2017; 63(1): 17–21. doi: 10.14789/jmj.63.17
8. Havasi A, Li Z, Wang Z, Martin JL, Botla V, Ruchalski K, et al. Hsp27 inhibits bax activation and apoptosis via a phosphatidylinositol 3-kinase-dependent mechanism. J Biol Chem 2008; 283(18): 12305–13. doi: 10.1074/jbc.M801291200
9. Stetler RA, Gao Y, Zhang L, Weng Z, Zhang F, Hu X, et al. Phosphorylation of HSP27 by protein kinase D is essential for mediating neuroprotection against ischemic neuronal injury. J Neurosci 2012; 32(8): 2667–82. doi: 10.1523/JNEUROSCI.5169-11.2012
10. Rabiei Z, Bigdeli MR, Rasoulian B, Ghassempour A, Mirzajani F. The neuroprotection effect of pretreatment with olive leaf extract on brain lipidomics in rat stroke model. Phytomedicine 2012; 19(10): 940–6. doi: 10.1016/j.phymed.2012.06.003
11. Angeloni C, Malaguti M, Barbalace M, Hrelia S. Bioactivity of olive oil phenols in neuroprotection. IJMS 2017; 18(11): 2230. doi: 10.3390/ijms18112230
12. Yu H, Liu P, Tang H, Jing J, Lv X, Chen L, et al. Oleuropein, a natural extract from plants, offers neuroprotection in focal cerebral ischemia/reperfusion injury in mice. Eur J Pharmacol 2016; 775: 113–19. doi: 10.1016/j.ejphar.2016.02.027
13. Bali E, Ergin V, Rackova L, Bayraktar O, Küçükboyacı N, Karasu Ç. Olive leaf extracts protect cardiomyocytes against 4-hydroxynonenal-induced toxicity in vitro: comparison with oleuropein, hydroxytyrosol, and quercetin. Planta Med 2014; 80(12): 984–92. doi: 10.1055/s-0034-1382881
14. Machin A, Susilo I, Purwanto DA. Green tea and its active compound epigallocathechin-3-gallate (EGCG) inhibit neuronal apoptosis in a middle cerebral artery occlusion (MCAO) model. J Basic Clin Physiol Pharmacol 2021; 32(4): 319–25. doi: 10.1515/jbcpp-2020-0454
15. Williams SM, Bryan-Lluka LJ, Pow DV. Quantitative analysis of immunolabeling for serotonin and for glutamate transporters after administration of imipramine and citalopram. Brain Res 2005; 1042(2): 224–32. doi: 10.1016/j.brainres.2005.02.045
16. Parkinson L, Cicerale S. The health benefiting mechanisms of virgin olive oil phenolic compounds. Molecules 2016; 21(12): 1734. doi: 10.3390/molecules21121734
17. Guasch-Ferré M, Liu G, Li Y, Sampson L, Manson JE, Salas-Salvadó J, et al. Olive oil consumption and cardiovascular risk in U.S. adults. J Am Coll Cardiol 2020; 75(15): 1729–39. doi: 10.1016/j.jacc.2020.02.036
18. Veterini AS, Soedarmo SM, Hasanul, Adi AC, Rachmawati H, Rehatta NM. Future views on nanonutrition for critically ill patients: the role of extra virgin olive oil nanoemulsion in sepsis enteral nutrition. Crit Care Shock 2020; 25(3): 208–20.
19. Kato H, Kogure K, Liu X-H, Araki T, Kato K, Itoyama Y. Immunohistochemical localization of the low molecular weight stress protein HSP27 following focal cerebral ischemia in the rat. Brain Res 1995; 679(1): 1–7. doi: 10.1016/0006-8993(95)00198-Y
20. Vidyasagar A, Wilson NA, Djamali A. Heat shock protein 27 (HSP27): biomarker of disease and therapeutic target. Fibrogenesis Tissue Repair 2012; 5(1): 7. doi: 10.1186/1755-1536-5-7
21. Popp A, Jaenisch N, Witte OW, Frahm C. Identification of ischemic regions in a rat model of stroke. PLoS One 2009; 4(3): e4764. doi: 10.1371/journal.pone.0004764
22. Mehlen P, Kretz-Remy C, Briolay J, Fostan P, Mirault ME, Arrigo AP. Intracellular reactive oxygen species as apparent modulators of heat-shock protein 27 (hsp27) structural organization and phosphorylation in basal and tumour necrosis factor α -treated T47D human carcinoma cells. Biochem J 1995; 312(2): 367–75. doi: 10.1042/bj3120367
23. Venugopal A, Sundaramoorthy K, Vellingiri B. Therapeutic potential of Hsp27 in neurological diseases. Egypt J Med Hum Genet 2019; 20(1): 21. doi: 10.1186/s43042-019-0023-4
24. Rogalla T, Ehrnsperger M, Preville X, Kotlyarov A, Lutsch G, Ducasse C, et al. Regulation of Hsp27 oligomerization, chaperone function, and protective activity against oxidative stress/tumor necrosis factor α by phosphorylation. J Biol Chem 1999; 274(27): 18947–56. doi: 10.1074/jbc.274.27.18947
25. Arrigo A-P. Hsp27: novel regulator of intracellular redox state. IUBMB Life 2001; 52(6): 303–7. doi: 10.1080/152165401317291156
26. Mehlen P, Mehlen A, Guillet D, Preville X, Arrigo A-P. Tumor necrosis factor-α induces changes in the phosphorylation, cellular localization, and oligomerization of human hsp27, a stress protein that confers cellular resistance to this cytokine. J Cell Biochem 1995; 58(2): 248–59. doi: 10.1002/jcb.240580213
27. de la Puerta R, Gutierrez VR, Hoult JRS. Inhibition of leukocyte 5-lipoxygenase by phenolics from virgin olive oil. Biochem Pharmacol 1999; 57(4): 445–9. doi: 10.1016/S0006-2952(98)00320-7
28. Visioli F, Bellomo G, Galli C. Free radical-scavenging properties of olive oil polyphenols. Biochem Biophys Res Commun 1998; 247(1): 60–4. doi: 10.1006/bbrc.1998.8735